特殊脊柱骨折(5种)
特殊的脊柱骨折(5种)
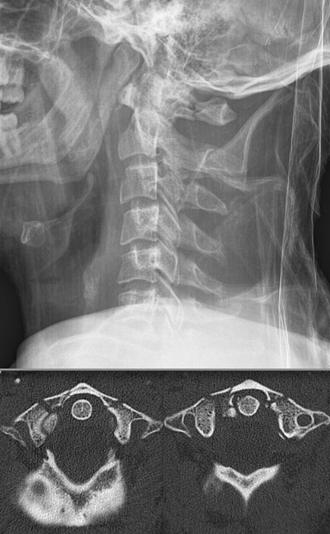
(1)Jefferson骨折
颈部轴向负荷导致的寰椎爆裂骨折。
(2)Clay shoveler骨折
下颈椎或上胸椎棘突骨折。1940年德国Hall等报道13例棘突骨折的患者,这些患者均为铲土工人,因此Hall将这类孤立性的棘突骨折命名为Clay shoveler骨折,即“铲土者骨折”。
(3)burst骨折
椎体轴向压力造成的骨折,通常发生骨折碎片向四周移位,有时候可以突入椎管。可以发生在颈椎、胸椎或腰椎。
(4)Chance 骨折
胸腰段椎体的分离性骨折,伴随脊髓、神经根、椎体的水平方向的崩裂骨折。
(5) Anderson 骨折
又名齿状突骨折。1 型为齿突尖骨折。是由于翼状韧带及齿突尖韧带牵拉所致。2 型骨折为齿状突腰部的骨折,骨折线一般位于齿突和枢椎椎体交界处。3 型为骨折线下延至枢椎的椎体骨松质。也可延至枢椎侧块。实际上是经枢椎椎体的骨折。
山东君泰安德医疗科技股份有限公司感谢您进入网站
上一页 运动腕关节损伤基本分析
下一页 足踝部骨折(7种)
