足踝部骨折(7种)
(1)Pilon 骨折
是指胫骨远端关节内骨折,常常由垂直暴力所致,常常合并腓骨骨折和严重的软组织损伤。
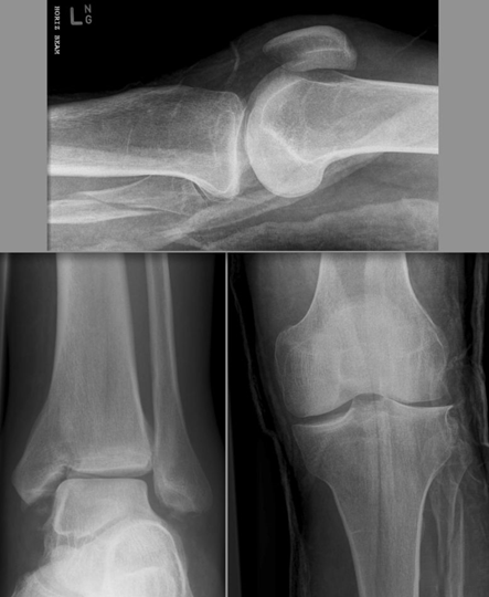
(2)三平面骨折(Triplane fracture )
即累及远端胫骨骨骺的骨折可因骨折线延入其他两个平面而变得复杂,因而称之。骨折由矢状面内的骨骺骨折,经生长板外侧面的轴位面内水平方向骨折,与冠状面内经干骺端到骨干的斜行骨折,自生长板的前侧面伸延至胫骨的后侧皮质。
三平面骨折示意图
(3)Pott 骨折
内外踝骨折合并三角韧带断裂,踝关节完全失去稳定性并发生显著脱位者,称为 Pott 骨折。
(4)Dupuytren 骨折
Dupuytren 骨折由法国外科医生 Dupuytren 于 1819 年首次描述。随后的几十年内,学术界对于'Dupuytren 骨折'与'Pott 骨折'是否存在区别,争论不断。根据腓骨骨折的不同位置,Dupuytren 骨折可分为低位 Dupuytren 骨折和高位 Dupuytren 骨折。按照踝关节骨折 Lauge-Hansen 分型,Dupuytren 骨折属于旋前外旋型或旋前外展型损伤。
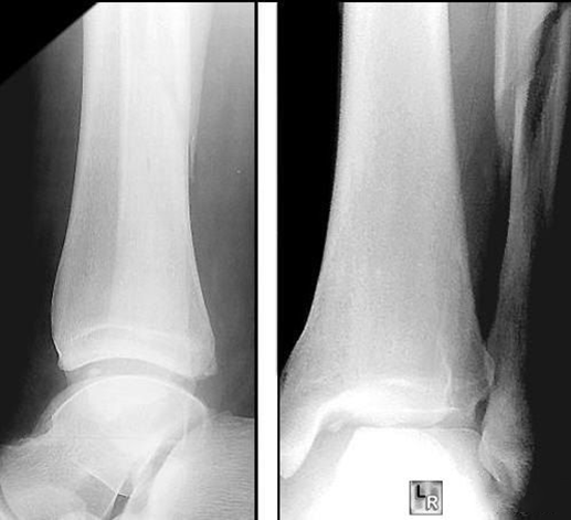
(5)Maisonneuve 骨折
法国医生 Maisonneuve 是 Dupuytren 的学生,他在 1840 年首次提出外旋暴力导致了一种特殊类型的踝关节骨折,即 Maisonneuve 骨折。Maisonneuve 骨折约占踝部损伤的 1%~11%, 属于踝关节骨折 Lauge-Hansen 分型中的旋前 - 外旋型 Ⅲ 度以上的损伤。Weber 分型为 C 型。
(6)Tillaux 骨折 / Tillaux-Chaput 骨折
Tillaux 骨折,指下胫腓前韧带在胫骨起点处发生的撕脱骨折。胫骨远端前外侧骨折首先由 Cooper 在 1822 年提出,之后法国医生 Tillaux 做了进一步解剖学试验并详细描述了这一骨折过程,将其命名为 Tillaux 骨折。Tillaux 结节骨折在踝关节骨折病例中并不少见,常合并踝关节周围其他的骨折及韧带损伤。单纯的 Tillaux 骨折病例比较少见,多发生于未成年人,在成人中比较少见,常容易漏诊。
(7)Bosworth 骨折
Bosworth 骨折比较少见,是由美国 David Marsh Bosworth 医生于 1947 年首先报道的特殊类型踝关节骨折、脱位之一。其特点是外旋暴力导致踝关节骨折脱位,伴腓骨近端骨折移位、并交锁于胫骨后嵴处。因骨间膜、韧带及腓骨肌腱被拉紧,闭合手法复位比较困难,常需手术切开复位。
上一页 特殊脊柱骨折(5种)
下一页 髋膝部骨折(十种)
