在各种运动中,腕关节都很容易受到损伤这时,拿到患者的影像片,该如何判断呢。
看是否有骨折:主要以舟骨、月骨常见,其他腕骨骨折一般较少,侧位注意不要漏诊三角骨即可;看桡骨远端不要漏诊关节面和纵行小梁的骨折。
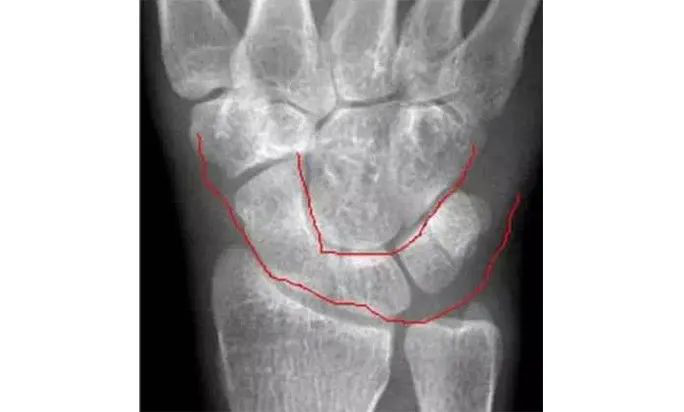
两条弧线如果不连通多半有脱位
我们把月骨看做是香蕉,把头状骨看做是苹果。香蕉下面的桡骨关节面是盘子,盘子上面有香蕉,香蕉上放个苹果,苹果被咬了一口,在前面是三角骨骨折。香蕉歪了是月骨脱位,苹果向后是月骨周围脱位。
若显示腕骨弧线不连续或各弧线不平行,或腕掌线M 形结构消失,应高度怀疑腕关节不稳或脱位。
Analyze - 腕骨弧线正位弧线不连续,侧位明显脱位。
月骨脱位月骨周围脱位,苹果歪了,香蕉还在
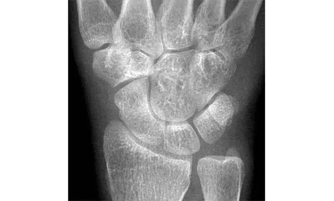
Case 分析
1.月骨-三角骨间隙不平行,存在重叠。
2.钩状骨和月骨也存在重叠。
3.桡骨、月骨、舟骨近极和头状骨近极平行关系存在。
4.三角骨、钩骨、头状骨远极、大多角骨和舟骨远极平行关系也存在。
5.头状骨和舟骨骨折。
诊断:经舟骨、经头状骨月骨周围骨折-脱位。
Case 分析
舟骨-大多角骨-小多角骨关节(STT关节)、第1腕掌关节(CMC1关节)严重骨关节病伴半脱位,掌骨弧线正常、平行关系存在。舟骨变长提示其向背侧倾斜。
侧位片示月骨也向背侧倾斜,近排腕骨作为一个整体移动,所以不存在脱位。
最后诊断:无脱位DISI(背屈不稳)伴STT关节骨关节病及半脱位。
侧位显示月骨向掌侧倾斜
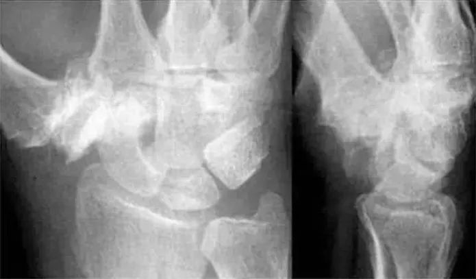
Case 分析
1.月骨-三角骨间隙平行关系缺失致掌骨弧线I and II中断。
2.月骨和舟骨平行,而与其他腕骨不平行。
3.舟骨缩短提示向掌侧倾斜。
4.月骨平行于舟骨,其三角形状提示为掌侧倾斜所致。
5.近排腕骨不是一个整体,因为弧线I中断。
诊断:掌屈不稳伴月骨-三角骨关节脱位
总结
1). 月骨脱位:正位片示月骨由四边形便成三角形或橘瓣状,并向尺侧移位。侧位月骨前移、旋转,窝状关节前空虚。2). 经舟骨月骨脱位:除月骨脱位外,同时伴有周骨骨折,且骨折近段随月骨一起向前脱位,骨折远端仍处于原位置。3). 月骨周围脱位:表现为腕关节缩短,头骨与桡骨距离变近,头骨、钩骨与月骨部分重叠,月骨形态及位置基本正常。4). 经舟骨月骨周围脱位:表现为月骨周围脱位拌周骨骨折,且骨折远端随头骨向后脱位,而骨折近段与桡骨、月骨关系保持正常。5). 混合型脱位:月骨周围脱位,月骨也有半脱位。甚至有腕骨骨折、尺桡骨骨折、尺桡下关节脱位等。腕骨解剖特点:正位片上,前后排腕骨后缘形成光滑的弧线:前后排腕骨不重叠:头、钩、月三角骨间形成十字间隙。月骨于正位片上为楔形、侧位片上为月牙形,窝状关节面朝前、且与头状骨紧贴。
侧位片上,桡骨纵轴通过月骨和头骨;前排腕骨自下而上分别为大、小、头、钩骨,后排自下而上为舟、月(豆)、三角骨。
山东君泰安德医疗科技股份有限公司专业从事骨科外固定支架,泰勒式架,伊里扎洛夫固定架等。
下一页 特殊脊柱骨折(5种)
