常见手腕部骨折(11种)
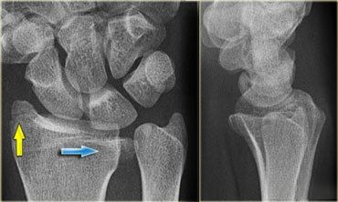
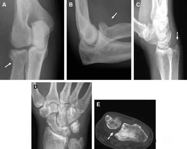
(1)Essex-Lopresti 骨折
是桡骨头骨折伴有下尺桡关节脱位,导致骨间膜损伤,桡骨短缩。此种损伤,桡骨头骨折的诊断往往是明确的,容易忽视的是下尺桡关节脱位,特别是早期,下尺桡关节的症状不明显,X 线表示也不明显。
前后位(A)和侧位(B)示桡骨头关节内骨折(白色实线箭头);(C~E)伤后 1 个月复诊,患者诉腕关节疼痛,X 线(C,D)发现下尺桡关节脱位,(E)CT 进一步证实损伤的存在。
(2)Colles 骨折
Colles 骨折即伸直型桡骨远端骨折,1814 年 Abraham Colles 首先详细描述此类骨折,故命名为 Colles 骨折,是人体最常见的骨折之一,占所有骨折的 10% ,多见于老年人。
(3)Smith 骨折
桡骨远端屈曲型骨折,骨折远端向掌桡侧移位。
(4)Barton 骨折
桡骨远端关节内骨折,伴桡腕关节脱位。
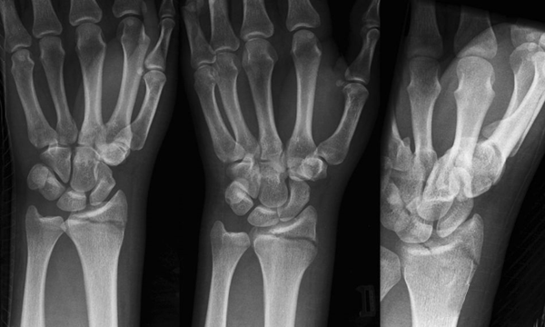
(5)die-punch 骨折
桡骨远端的关节内骨折,伴有月骨陷窝背侧表面的压迫。先将由月骨冲撞挤压桡骨的月骨关节面所造成的骨折通称为die-punch 骨折。

(6)Hutchinson 骨折
又名Chauffeur 骨折、back-fire 骨折、crank 骨折。是桡骨茎突斜行骨折,累及桡腕关节。
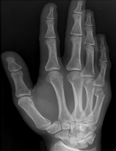
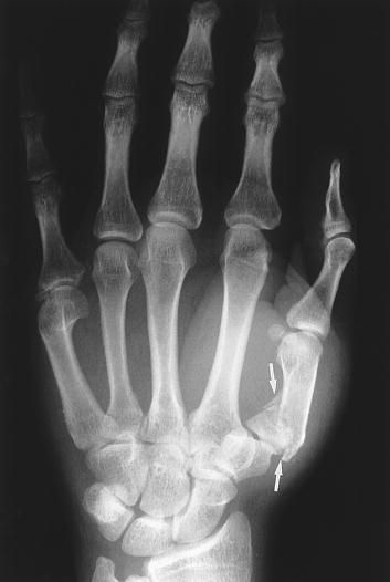
(7)Boxer 骨折
拳击骨折:指第5 掌骨颈骨折,伴有掌骨头向掌侧移位,骨折端背侧成角,多发生于握拳击打损伤所致,同样的损伤机制,第 4 掌骨颈部骨折,也称 Boxer 骨折。
(8)Bennett 骨折
第一掌骨基底部关节内骨折伴脱位。
(9)Rolando 骨折
纵向暴力导致第一掌骨基底部劈裂骨折。属于关节内骨折。
(10)Mallet Finger/Baseball finger
即锤状指,是由于近侧指间关节远端、特别是远侧指间关节处伸肌腱损伤所致的手指末节屈曲畸形。它可能是伸肌腱的终末腱断裂、从止点撕脱或伴有撕脱性骨折。也称为指下垂(drop finger)或棒球指。
(11)Buttonhole deformity(纽扣畸形)
又称Boutonnière deformity,伸肌腱的中央腱束断裂,使近侧指间关节突出于侧束指间,表现为近侧指间关节屈曲,远侧指间关节过伸畸形。多发生于类风湿性关节炎后畸形。
上一页 肩肘部骨折(9种)
下一页 6种特殊踝关节骨折的诊疗要点
