踝关节骨折是骨科常见的损伤,约占全身所有骨折的3.9%。由于踝关节本身结构的复杂性加上致伤因素的多样性,所以临床上踝关节骨折的表现形式多种多样。历史上,诸多学者对踝关节骨折的诊断与治疗做了大量的研究报道,也使踝关节骨折的分类和命名十分复杂。
-01-
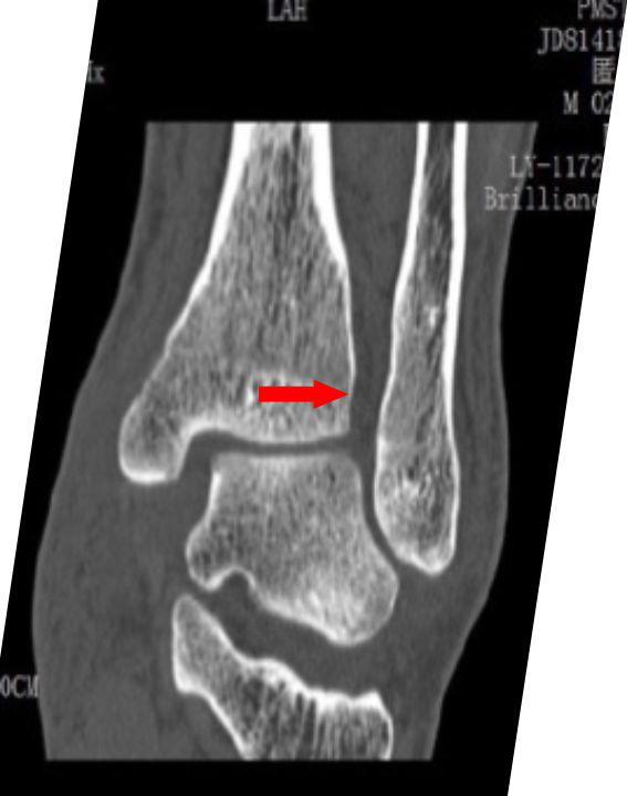
Tillaux骨折/ Tillaux-Chaput骨折
1
概述
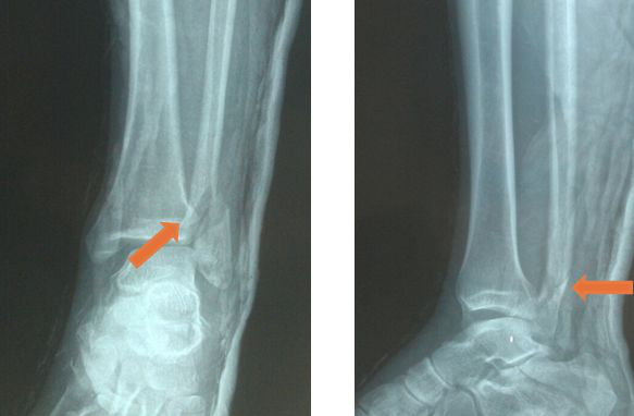
Tillaux骨折,指下胫腓前韧带在胫骨起点处发生的撕脱骨折。胫骨远端前外侧骨折首先由Cooper在1822年提出,之后法国医生Tillaux做了进一步解剖学试验并详细描述了这一骨折过程,将其命名为Tillaux骨折。Tillaux结节骨折在踝关节骨折病例中并不少见,常合并踝关节周围其他的骨折及韧带损伤。单纯的Tillaux骨折病例比较少见,多发生于未成年人,在成人中比较少见,常容易漏诊。
2
损伤机制
文献报道的病例损伤机制多为足外旋扭转暴力。在Lauge-Hansen 踝关节骨折分型中,旋后 - 外旋型(SER,supination external rotation)骨折根据骨折严重程度分为 4 度。Ⅰ 度 下胫腓联合前韧带损伤Ⅱ 度 腓骨远端斜形或螺旋形骨折
Ⅲ度 后踝撕脱或者下胫腓联合后韧带损伤
Ⅳ度 内踝骨折或三角韧带损伤
3
临床表现及诊断
临床上,单纯的Tillaux 骨折相对少见。由于 Tillaux 骨折片较小、X 线片上有胫骨的遮挡以及临床医生认识不足,所以很容易被漏诊。临床上对怀疑有该部位损伤时,应摄踝关节内旋 30°~45° 斜位 X 线片和 CT 片,必要时可行 MR 检查,以避免漏诊,延误治疗。
4
治疗
由于下胫腓前韧带在维持下胫腓联合稳定性方面约发挥35%的作用,所以Tillaux骨折后,若下胫腓前韧带未正常复位,则会发生下胫腓联合不稳而导致撞击症状,引起慢性疼痛,甚至引发创伤性关节炎。
因此,一般认为,Tillaux骨折移位<2mm者可行保守治疗,予以石膏固定4~6周;而移位> 2mm者则应采取手术治疗。
手术治疗一般包括经皮复位固定、切开复位内固定及踝关节镜下复位内固定技术。术中复位后,通常使用1~2枚加压螺钉即可固定,若骨折块较小而无法使用螺钉固定时,可采用克氏针固定。
-02-
Wagstaffe骨折/ Le Fort-Wagstaffe骨折
1
概述
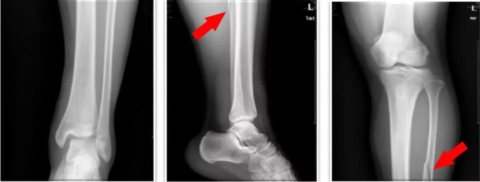
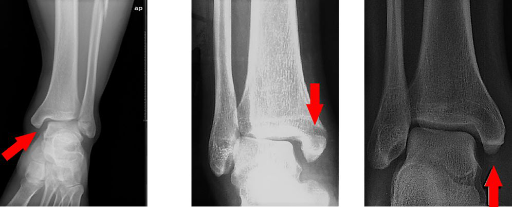
Wagstaffe骨折,指下胫腓前韧带或距腓前韧带在腓骨附着点的撕脱骨折,是外踝前缘的纵行骨折,由英国医生Wagstaffe于1875年首先报道。
根据损伤情况作者将其分为三型。1886年,法国医生Le Fort报告类似骨折,因此Wagstaffe骨折也被称作Le Fort-Wagstaffe骨折。随后,Pankovich又对Wagstaffe分型做了进一步改良。
2
损伤机制
Wagstaffe骨折临床少见且极少单独发生,常伴有踝关节其他损伤,如内踝骨折、腓骨远端骨折等。从损伤机制上来看,由于此类骨折多由旋后外旋暴力引起,所以大多数Wag staffe骨折属于Lauge-Hansen分型中的旋后外旋型。
3
临床表现及诊断
临床上,部分患者能通过X线片确诊,但因其临床发病率较低,加上临床医生对其认识不足,故很容易漏诊。因此,对于下胫腓前韧带部位压痛并外旋应力试验阳性的患者,应常规行三维CT检查,必要时可行MR检查。
4
治疗
Wagstaffe骨折是一类累及下胫腓前韧带的踝关节骨折,故行解剖复位、牢固固定对恢复下胫腓联合的稳定性有重要意义。对于WagstaffeⅠ型骨折可采用前结节钻孔,缝线缝合固定;Ⅱ型采用缝线或螺钉单独固定骨折块;Ⅲ型的腓骨侧可使用螺钉或张力带固定,胫骨侧,即Tillaux-Chaput骨折处可采用螺钉或钢板固定。术中予以内外踝固定后需再次评估下胫腓联合稳定性,如仍存在下胫腓不稳定时,则需固定下胫腓联合。
-03-
Dupuytren骨折
1
概述
· Dupuytren 骨折由法国外科医生 Dupuytren 于 1819 年首次描述。随后的几十年内,学术界对于'Dupuytren 骨折'与'Pott 骨折'是否存在区别,争论不断。
· 根据腓骨骨折的不同位置,Dupuytren 骨折可分为低位 Dupuytren 骨折和高位 Dupuytren 骨折。
· 按照踝关节骨折Lauge-Hansen 分型,Dupuytren 骨折属于旋前外旋型或旋前外展型损伤。
2
损伤机制
足在旋前位受到外展或外旋应力时,内踝首先受到牵拉而造成内踝撕脱骨折或三角韧带断裂;而外踝受到相应的外展或外旋应力,造成腓骨不同高度的骨折,下胫腓联合在外展、外旋应力下完全分离,最终出现踝关节完全脱位。
3
临床表现及诊断
由于患者受伤后的踝部畸形经急救复位后,通过普通X线片难以明确诊断踝关节脱位、下胫腓前后韧带损伤、胫腓骨骨间膜损伤程度,所以如发现内踝、下胫腓联合、腓骨处肿胀和压痛,应警惕初始损伤可能为Dupuytren骨折。
X线片
为避免漏诊,对怀疑Dupuytren骨折者需摄小腿全长,必要时摄踝穴位X线片和双侧应力对照X线片,仔细观察踝穴、腓骨及下胫腓联合的变化。如内踝增宽或骨折合并下胫腓联合分离,则必须考虑Dupuytren骨折。
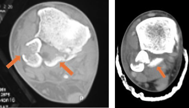
CT检查
有助于明确复杂的骨折,MRI对踝关节韧带、关节软骨损伤的诊断具有重要意义。
4
治疗
Dupuytren骨折极度不稳定,只有通过切开复位内固定才能获得准确的解剖复位,除身体条件无法手术而行保守治疗者外,其余均主张手术解剖复位踝关节,恢复踝关节稳定性。
保守治疗
早期复位+石膏固定(逆损伤机制复位并U型石膏托固定,一周后更换管形石膏),三周内复查,防止骨折移位。
手术治疗
遵循外踝-后踝-内踝-下胫腓联合的手术顺序。需要强调的是,因为Dupuytren骨折不同于其他简单的踝关节骨折,其下胫腓联合损伤严重、完全分离,术中进行骨折复位固定后必须检查下胫腓的稳定性,对仍存有不稳定者需要固定下胫腓联合。
此外,应根据患者的损伤情况,在术前与患者做好沟通,术后可适当延长下胫腓联合螺钉的取出时间。尽管下胫腓联合螺钉在患者后期负重训练时可能发生断裂或松动,但相比较而言,过早取出下胫腓螺钉所致的下胫腓联合再度分离则更难处理。因此,主张在术后12~16周以后取出下胫腓螺钉。
-04-
Logsplitter骨折
1
概述
· 1990 年意大利人 Marco Molinari 提出,2013 年美国人 Hassan R. Mir,MD 等人进行了准确的阐述与补充。
· “Logsplitter fracture” 的提出是基于下胫腓联合复合体和踝关节活动之间的解剖关系的破坏。
·
2014 年,Bible 等首次使用'Logsplitter injury'来描述这种类型的踝关节骨折。这个命名生动形象且充满趣味,但是也引发了一些关键词检索时的混乱,可能会与劈木机所导致的创伤相互混淆。
·
2
损伤机制
垂直暴力所形成的一个旋转的合力传输至下胫腓联合复合体、腓骨远端及胫骨关节面的外侧。典型的Logsplitter损伤常合并开放性踝关节过度外展、外旋畸形,故内侧结构损伤发生率较高。
足外翻程度大时可导致下胫腓联合以远的腓骨骨折,为Lauge-Hansen分型中的旋前-外展型;此时距骨不完全嵌入下胫腓中,损伤相对较轻。
当足外翻程度较小时,垂直暴力被下胫腓联合复合体吸收,其分离程度越大,韧带损伤或撕裂严重程度越大,甚至伴有前后下胫腓韧带附着点撕脱骨折。即Tillaux-Chaput骨折、Volkman骨折、Wagstaffe骨折等。
3
临床表现及诊断
由于发生Logsplitter损伤时,距骨完全楔入下胫腓联合并轴向移位,此时下胫腓联合完全分离、踝关节完全脱位,可伴有腓骨骨折、内踝骨折或三角韧带断裂,所以从影像学上来看,有时难以直接与Dupuytren骨折相互区别。
在临床上,有时可根据二者暴力性质加以区别。根据二者的定义,Logsplitter损伤强调垂直高能量暴力,而Dupuytren骨折则以旋转暴力为主。
分型
目前尚无统一的分型方法,根据距骨嵌入下胫腓的程度的分型。
·
典型损伤:距骨完全嵌入下胫腓联合,下胫腓联合复合体完全分离移位,伴或不伴距骨及'天花板'骨折。
·
·
非典型损伤:距骨部分嵌入下胫腓中,下胫腓联合分离不完全,踝穴增宽但关节面完整。类似于Dupuytren fracture,也有人把 Dupuytren fracture 称为 Logsplitter 的一种特殊形式。
·
4
治疗
对于开放性损伤患者,均应一期行清创+外固定支架固定,待创面愈合或无明确感染时再考虑行切开复位内固定+软组织探查修复术。
· 腓骨前入路:Logsplitter 损伤合并 tillaux 骨块或者 Wagstaffe 骨块时
· 后外侧入路:腓骨后缘与跟腱外侧缘之间后外侧切口处理后踝Volkmann 骨块较为适宜。
· 内踝入路:内踝的处理可选择与胫骨远端方向一致的“J” 型切口,便于暴露骨块和三角韧带。
-05-
Maisonneuve骨折
1
概述
· 法国医生Maisonneuve 是 Dupuytren 的学生,他在 1840 年首次提出外旋暴力导致了一种特殊类型的踝关节骨折,即 Maisonneuve 骨折。
· Maisonneuve 骨折约占踝部损伤的 1%~11%。
· 属于踝关节骨折Lauge-Hansen 分型中的旋前 - 外旋型 Ⅲ 度以上的损伤。
· Weber 分型为 C 型。
2
损伤机制
多为足处于旋前位时受外旋应力作用,首先致内踝骨折或三角韧带损伤,继而发生下胫腓前韧带及骨间韧带断裂,接着发生高于下胫腓联合水平的腓骨骨折(PER-Ⅲ) ,最后可能出现下胫腓后韧带断裂或后踝骨折而致下胫腓完全分离(PER-Ⅳ),其腓骨的骨折多位于中上 1/3 水平。
内踝骨折或三角韧带损伤
腓骨高位骨折
下胫腓联合损伤
3
临床表现及诊断
影像学检查
4
治疗
Maisonneuve 骨折是一类极不稳定的踝关节骨折,需要手术治疗以恢复踝关节的稳定性,保守治疗常无效。
石膏固定不能保持踝关节的稳定性,踝关节内侧结构、下胫腓联合及骨间膜的损伤导致踝穴不稳定,单独修复内侧结构并不能控制下胫腓分离,因此常需要使用下胫腓螺钉固定下胫腓联合。
手术治疗
-06-
Bosworth骨折
1
概述
· 1947 年,Bosworth 首先报告 5 例此类少见的踝关节骨折类型。
· Bosworth 骨折指踝关节骨折脱位,腓骨近端骨折片向胫骨后面移位并绞锁,手法复位困难,属于难复性骨折。
· 属于踝关节骨折Lauge-Hansen 分型中的旋后 - 外旋型损伤
2
损伤机制
旋转暴力首先从下胫腓前韧带发起导致下胫腓前韧带断裂,继而腓骨远端螺旋斜行骨折(骨折线呈前下至后上),腓骨近端骨折片绞锁于胫骨后外侧嵴,随后下胫腓后韧带断裂或后踝骨折,最后出现内踝骨折或三角韧带损伤。
腓骨远端螺旋斜行骨折,腓骨近端交锁于胫骨后外侧棘
下胫腓后韧带损伤或后踝骨折(后踝常为撕脱骨块)
Bosworth 骨折可分为典型与非典型骨折。典型 Bosworth 骨折指足的旋后 - 外旋型损伤,外踝骨折线在下胫腓联合附近。非典型 Bosworth 骨折指骨折线在腓骨上 1/3 段,腓骨后脱位时导致骨间膜广泛撕裂,此时腓骨的远端骨折片绞锁于胫骨后外侧嵴的后面。
3
临床表现及诊断
· X 片踝关节正侧位踝关节呈后脱位,见腓骨远端骨折,近端骨折块后内侧移位,交锁于胫骨后方外侧棘,侧位可见接近于正位相;
· CT 检查可以更完善了解腓骨交锁于胫骨后方的位置、程度以及骨折线走行,同时可了解其他微小骨折、后踝骨折及下胫腓联合的关系;
· MRI 对下胫腓联合、内侧三角韧带、骨间韧带的敏感性和特异性更高。
· 踝关节镜可更精确了解下胫腓联合、内侧三角韧带、关节内软骨损伤情况。
· 通常X 片及 CT 就可明确 Bosworth 骨折,MRI 及关节镜检作为有力的补充。
4
治疗
· 新鲜骨折可以尝试手法复位,如复位失败,则切忌反复复位,否则易导致骨筋膜室综合征。Hoblitzell 等认为对于 Bosworth 骨折脱位,由于腓骨近端骨折块的结构消失,很难将其从胫骨后侧拉回前侧,所以牵引闭合复位成功率低,需要采用切开复位内固定治疗。
· 复位不管成功与否,如身体条件不允许急诊手术者,需进行跟骨牵引;
· 复位失败后应尽量在6~8h 手术。
上一页 常见手腕部骨折(11种)
下一页 踝关节骨折分型
