肩肘部骨折(9种)
肩肘部骨折
共列举了9种
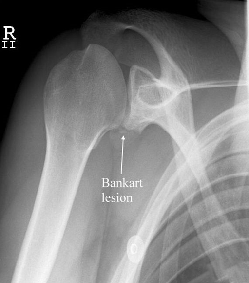
(1)bankart骨折
bankart 骨折指肩关节盂前下边缘骨折,伴或者不伴有肩关节前脱位。是肩关节盂唇前下方在前下盂肱韧带复合体附着处的撕脱性损伤。因肩关节前脱位引起,是造成习惯性前方不稳定和脱臼的基本损伤。
(2) Hill-Sachs、反 Hill-Sachs 损伤
肩关节脱位时,肱骨头和关节盂发生撞击,肱骨头表面凹陷性骨折。
肩关节前脱位时发生的肱骨头后外侧凹陷性骨折,是经典的 Hill-Sachs 损伤(Hill-Sachs lesion);而肩关节后脱位时发生的肱骨头前内侧凹陷性骨折,是反 Hill-Sachs 损伤(Reverse Hill-Sachs lesion/ McLaughlin lesion)。
A.Hill-Sachs 损伤的 X 片;B.Hill-Sachs 损伤的 MR 片;C.Hill-Sachs 损伤的 CT 片。
1. 正位片示肱骨头损伤;2. 侧位片示反 Hill-Sachs 损伤;3.MRI 示反 Hill-Sachs 损伤程度。
(3)Holstein lewis 骨折
肱骨远端 1/3 骨折伴桡神经嵌压。
(4)Monteggia 骨折
1814 年 Monteggia 首先描述了这种骨折类型,是指尺骨上 1/3 骨折合并桡骨头向前脱位的一种联合损伤。
1967 年 Bado 进一步完善 Monteggia's 骨折的概念,即任何部位的尺骨骨折合并桡骨头脱位。
后来随着人们对这种损伤机制的进一步研究.使该损伤概念的范围逐渐扩大,将桡骨头各方向脱位合并不同水平的尺骨骨折或尺、桡骨双骨折都列入。
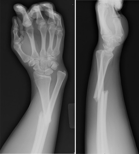
(5)Galeazzi 骨折
盖氏骨折,又称 Galeazzi 骨折,是桡骨干下 1/3 骨折合并下尺桡关节脱位,是一种既有骨折又有脱位的复合损伤,是一种极不稳定的骨折。
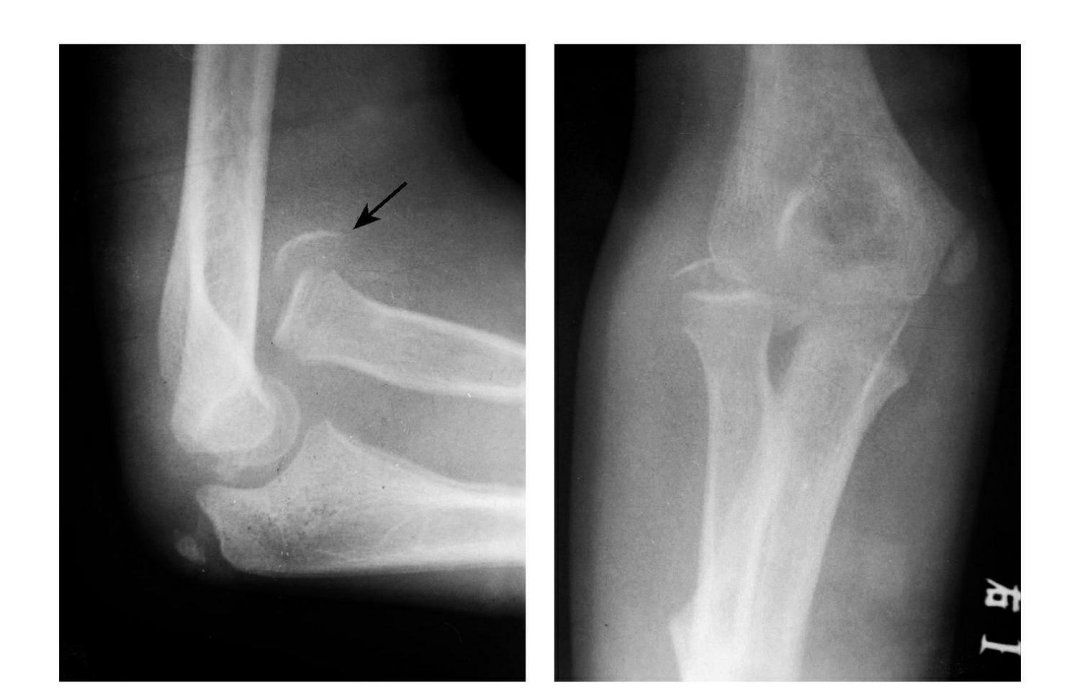
(6) Kocher-Lorenz 骨折
单纯肱骨小头骨折。
例 1:肱骨小头软骨面及其下方少量骨质呈“新月样” 被剥脱,且向肘前上方移位并桡骨头前半部骨折。
例 2:肱骨小头软骨面剥脱性骨折,致该小头新月状骨片被向前脱位的桡骨头顶向肘关节前上方,并尺骨干中段骨折(孟氏伸展型骨折)。
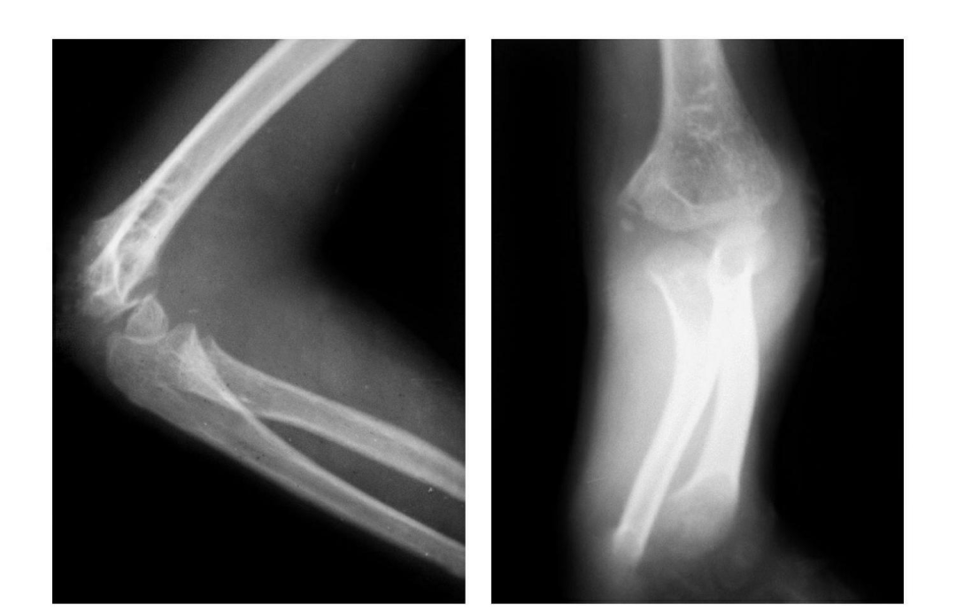
(7)Hahn-steinthal 骨折
全肱骨小头骨折,为一种少见的关节内骨折,多见于成年人。常由于跌倒时手过度伸直或在屈肘时因桡骨小头撞击肱骨小头,并同时有外翻力存在时发病,亦可伴有滑车骨折与内侧副韧带的撕裂。
例 1:肱骨小头基底部呈冠状面骨折,骨折块呈半球状向肘前上方移位。
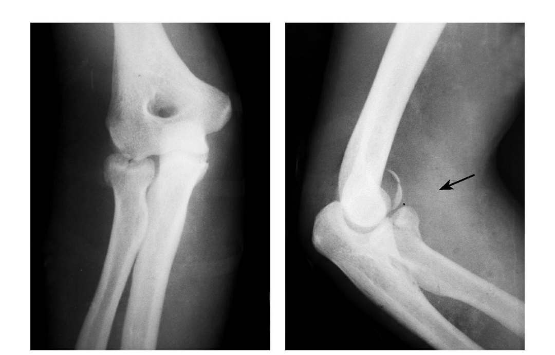
例 2:肱骨小头基底部冠状面骨折,骨折块呈半球状向肘前移位并肱骨内上髁无移位骨折。
例 3:肱骨小头及滑车桡侧壁前半部呈整体性冠状面骨折,骨折块向前上移位并外髁骨折。
(8)Posadas 骨折
经髁的肱骨骨折,伴有骨折碎块向前移位,以及因双髁骨折造成尺桡骨的脱位。
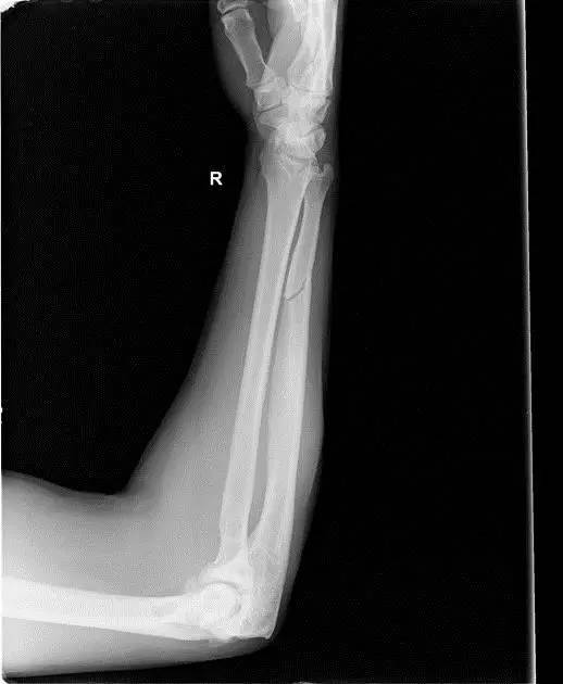
(9) Nightstick 骨折(警棍骨折)
直接外伤造成尺骨单骨折。前臂单纯的尺骨骨折,通常是由钝伤造成。Nightstick 的意思是警棍,此伤害可因受到棍击时举起手来抵挡产生。
上一页 髋膝部骨折(十种)
下一页 常见手腕部骨折(11种)
