山东君泰安德医疗科技有限公司今日分享:儿童肘部损伤案例分享
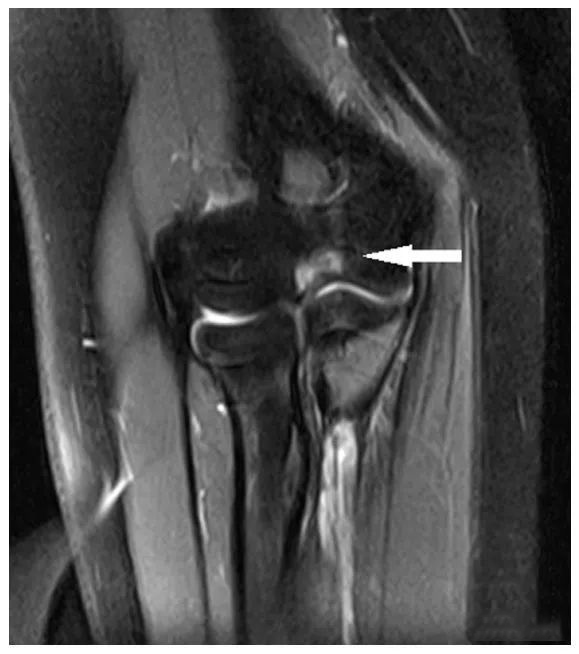
图 1 这位 14 岁的患者表现为慢性肱桡关节半脱位。冠状面 (A) TI 和 (B) PD-FS MRI 图像显示桡骨头相对于肱骨小头的颈向半脱位 (白色空箭头)。桡骨头关节软骨变薄,桡骨头骨髓信号改变 (实白色箭头),符合剥脱性骨软骨炎的特征。
图一
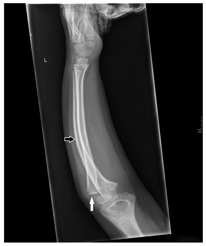
图 二 这名 8 岁女童的前臂侧位片显示桡骨头后脱位 (实心白色箭头) 和尺骨弯曲变形 (空心白色箭头),这与骨骼发育不成熟的患儿的 Monteggia 骨折脱位相一致。这是一种 BadoⅡ 型 Monteggia 骨折脱位。
图二
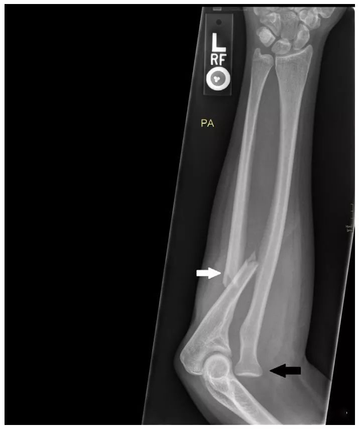
图三 这是一例 17 岁的 BadoⅠ 型 Monteggia 骨折脱位的病例,伴有桡骨头前脱位 (黑色箭头) 和尺骨近段横形骨折 (白色箭头)。
图三
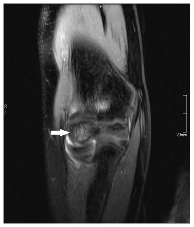
图四 (A) 冠状位 T1 和 (B) 矢状位 STIR 图像显示肱骨小头前正中部信号异常的病灶区 (箭头所示),但没有高的流体信号,所以病灶是稳定的。STIR 图像显示肱骨小头前方水肿。一名 13 岁的剥脱性肱骨小头骨软骨炎患者接受了螺钉固定。(C) 矢状位 STIR 图像显示完整的螺钉 (箭头),病灶区碎片稳定,位置满意。
图四
图五 一名 12 岁的肱骨小头剥脱性骨软骨炎患者 (黑色箭头) 的 CT 检查图像。我们发现,至少有 2 个关节内游离体位于肱骨小头 (白色箭头) 后方。
图五
图六 1 例 9 岁儿童,肱骨小头 (箭头所指)T2 信号弥漫性增高,未见软骨覆盖异常或碎裂。
图六
图七 这是一名 14 岁男孩,肘部疼痛,之前 x 光片检查正常。冠状面 PD-FS MRI 显示滑车骨骺内流体信号增强 (箭头),但关节软骨覆盖完整。
图七
图八 15 岁的投球手肘部疼痛,投掷速度减慢,内上髁骨髓水肿增加,可见 PS-FS MRI 冠状位 (A) 和轴位 (B) 图像 (箭头)。无生长板增宽。MRI 检查前的 x 线片正常 (未展示图像)。O: 鹰嘴。
图八
上一页 全脊柱骨折 AO 分型图谱
下一页 儿童肘部损伤分享(二)
