儿童肘部创伤是儿科放射学中最常见的肌肉骨骼损伤之一。然而,儿童肘部损伤可能由于儿童患者特有的次级骨化中心而被误诊。熟悉儿童正常肘部解剖对准确诊断至关重要。本文旨在通过回顾儿童肘部的次级骨化中心来提高儿童肘部损伤的诊断准确率,然后讨论常见的急性和慢性骨折、脱位或其他损伤。虽然许多肘部损伤是通过 x 线片诊断的,但在某些情况下,计算机断层扫描、超声和磁共振成像也是诊断这些损伤的必要手段。山东君泰安德医疗科技股份有限公司今日分享。
内上髁的骨折
肱骨内髁骨折在儿童肘关节骨折中占第三位,约 10%。10 肱骨内上髁是一隆起,是屈肌腱的共同附着部位。内上髁骨折发生在青少年早期,相对于髁上、外髁骨折人群,内上髁骨折发生的年龄偏大。患者摔倒后伸肘,导致肘部急性外翻应力。外翻应力引起内上髁撕脱性骨折,由屈肌腱和旋前肌腱共同作用导致 (图 7)。13 由于内上髁是一个关节外骨结构,肱骨内上髁骨折往往不会导致关节积液 (图 7B)。其中,30%-50% 的内上髁骨折与肘关节脱位有关。14 当肘关节脱位时,内上髁撕脱,有时夹在肱尺关节内 (图 8A)。放射科医师必须认识这种复杂的骨折,以避免延误诊断和防止肘关节破坏。CT 可用于确定向肱尺关节内移位的内上髁,特别是在未完全骨化和 (通常) 碎片化的滑车骨化中心的潜在混乱环境中 (图 8B 和 C)。肱骨内上髁骨折的处理取决于移位的程度。如无移位或移位小于 5mm,则石膏制动治疗。如骨折块移位大于 5mm 或夹在肘关节内,则最好采用切开复位穿针内固定。14,15
图 7 9 岁女子体操运动员从平衡木上摔下后肘部内侧疼痛。(A) 肘关节正位片示内上髁撕脱性骨折 (星号),骨折向远端移位。(B) 肘部侧位片图。注意,无关节积液。此外,内上髁 (星号) 位于肘关节的背侧。随着进一步的撕脱,内上髁将进一步移动到肘关节的前 / 掌侧。
桡骨近端骨折
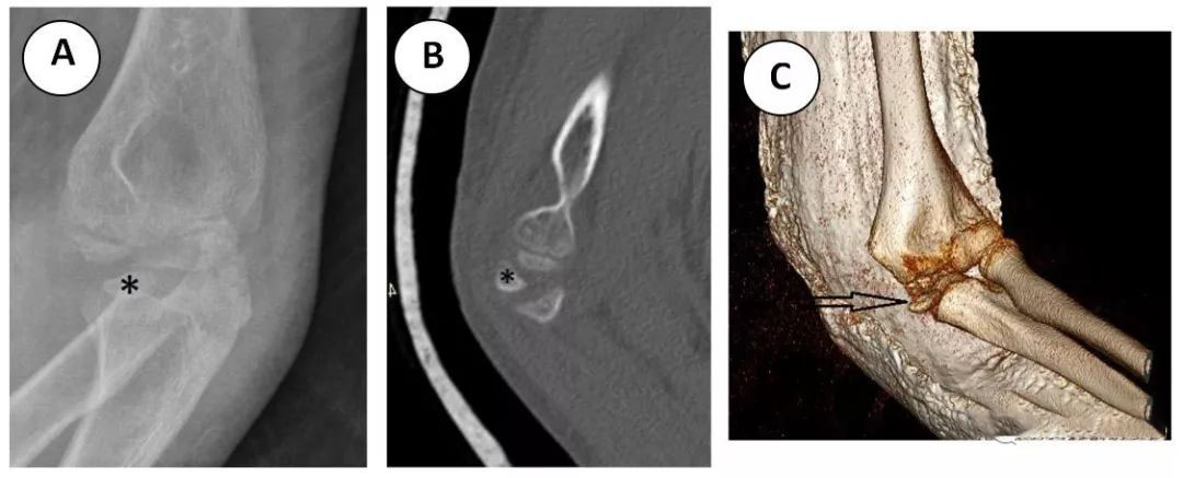
图 8 一个 12 岁的男孩在学校上体育课时摔倒了。(A) 肘部 x 线片斜位显示尺骨 - 滑车沟撕脱性内上髁 (星号) 骨折。(B) 矢状位 CT 和 (C) 肘部轴向薄层 CT 三维重建显示,在尺骨滑车沟内也发现了类似的内上髁 (星号,箭头)。可见内上髁上方未分化、正常、碎片化的滑车骨化中心。
尺骨鹰嘴骨折
与成人相比,尺骨鹰嘴骨折在儿童中相对少见。它是在跌倒时手臂伸直或者外力直接传到鹰嘴。17 尺骨鹰嘴骨折多伴随桡骨头脱位、桡骨颈骨折、内、外髁骨折。18 鹰嘴的骨化中心通常出现二部、多部,或似乎与近端尺骨分离 (图 11)。大多数鹰嘴骨折无移位或轻度移位。因此,大多数的鹰嘴骨折都采用石膏制动治疗。移位的骨折通常位于尺骨近端干骺端,呈斜形或横形,可延伸并累及肱骨外关节 (图 12)。移位的尺骨骨折需手术治疗。
肘关节脱位和骨折脱位
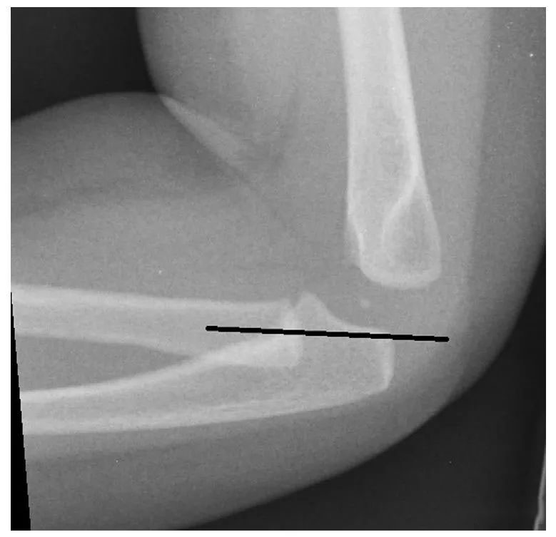
桡骨头脱位可以作为一种孤立的损伤或合并前臂或肱骨骨折而发生。7 单独桡骨头脱位可能比并发骨折的桡骨头脱位更为微妙。桡骨头脱位漏诊或不当治疗的后果包括重要的肘关节功能障碍。单一桡骨头脱位依靠肱桡小头线来确诊。对于 2 岁以内的患儿,或肱骨小头骨化中心尚未形成的患儿,放射学评价肱桡小头线可能比较困难。19 在这些情况下,超声可以帮助评估正常的肱桡小头线 (图 1)。长期肱桡关节半脱位或脱位可导致慢性桡骨头软骨和骨髓异常。(图 14)。
图 9 (A) 肘部正位片未显示任何异常,特别是桡骨颈。(B) 肘关节侧位片未见关节积液。(C) 肘部前视图显示桡骨颈硬化 (箭头),提示 Ⅱ 期愈合的无移位桡骨颈骨折。
由于近端和远端桡尺关节,尺骨和桡骨结合在一起形成一个环。环的一部分受伤通常会导致另一部分受伤。当发现近端桡尺关节脱位时应立即评估尺骨,以确保无尺骨骨折。近桡尺关节脱位合并尺骨骨折称为 Monteggia 骨折。这些骨折脱位性损伤常见于 4-10 岁的儿童。由于骨骼发育不成熟的患儿骨骼可塑性更强,尺骨骨折可能表现为尺骨弓状(弯曲)骨折 (图 15),而不是常见的横或斜形骨折,更典型者为 Monteggia 骨折 (图 16)。Bado 分型系统 20 可以用来描述 Monteggia 骨折脱位。该系统主要依赖于描述桡骨头脱位的方向。Ⅰ 型为桡骨头前脱位;Ⅱ 型为桡骨头后脱位;Ⅲ 型为桡骨头外侧脱位;Ⅳ 型为桡骨头前位脱位伴近桡尺关节脱位。处理这些损伤需要复位桡骨头并制动或复位尺骨骨折。
慢性重复性损伤
分离性肱骨小头骨软骨炎
12 - 15 岁患者的慢性侧肘疼痛,多见于运动员,可能是剥脱性肱骨小头骨软骨炎所致。21 虽然确切的机制尚不清楚,但重复性创伤和血供受损 (流域分布) 被认为是诱发因素。x 线片可鉴别剥脱性骨软骨炎病例,但 MRI 通常有助于在影像学表现前评估剥脱性骨软骨炎的早期病变。MRI 的表现包括软骨下水肿和区域可变的骨小梁信号异常,提示碎片形成。MRI 有助于对剥脱性骨软骨炎患儿治疗计划的制定。稳定的病变可以保守处理,而不稳定的病变可能需要手术固定。在不稳定情况下,T2 高信号包围碎片。另外,可以看到软骨下囊肿的流体信号增强。在稳定的情况下,碎片周围没有高信号 (图 17A 和 B)。在 MRI 或 CT 上也可以发现与不稳定病变相关的游离体 (图 18)。对他们的认识可以指导治疗。不稳定的病变可以进行螺钉固定,MRI 可用于评估术后病变的修复程度 (图 17C)。
图 10 (A、B) 获得此 CT 用于手术计划,并根据肘关节轴位薄层 CT 重建三维重建。这名 8 岁的病人表现为近端桡骨严重移位的 Salter-Harris II 型骨折。术前肘关节 CT 显示桡骨近端骨骺翻转移位 270 度 (箭头所指)。
Panner 病是一种肱骨小头骨软骨病,多发生在 5-10 岁的年轻患者,此病应和剥脱性骨软骨炎相鉴别。22,23 与剥脱性骨软骨炎不同,Panner 病患儿通常有自限性症状,不会进展为骨软骨碎裂或游离体形成。在 Panner 病患儿中,T2 信号增强通常可广泛存在于整个肱骨小头,而非局部 (图 19)。
图 11 肘关节矢状位 CT 图像显示鹰嘴呈现多个骨化中心 (箭头),这是一个影像学陷阱,其实这是一个正常的鹰嘴骨化中心。
图 12 (A) 肘关节正位片显示轻度移位的尺骨鹰嘴骨折 (箭头所指) 延伸至肱尺关节。(B) 肘关节侧位片显示鹰嘴骨折 (箭头)。
尽管肘部剥脱性骨软骨炎多数发生在肱骨小头,但滑车也易受累。24 与剥脱性肱骨小头骨软骨炎相似,Panner 病被认为是由于具有分水岭血流分布的骨区域反复损伤所致。剥脱性肱骨小头骨软骨炎的早期病变,在 x 线片上表现为细微的滑车骨软骨炎,而 MRI 有助于确诊 (图 20)。
图 13 肘关节侧位片显示肱桡关节脱位。桡肱小头线 (箭头) 中断,与肱骨小头不相交,肘关节积液,未发现尺骨骨折。
内上髁骨突炎
骨骼发育不成熟的投掷运动员肘部会出现外翻应力,有可能出现各种慢性反复性损伤,包括内侧上髁骨突炎。25 虽然这些病人可能表现为内上髁变宽、移位或碎裂,但大多数最初表现为正常。比较对侧肘关节无症状的 x 线片可能有助于鉴别细微的损伤。MRI 对这些患儿的诊断至关重要 (图 21)。MRI 表现为内上髁骨突内髓 T1 信号强度减弱、T2 信号增强。骨骺内生长板增宽、T2 信号增强也可显而易见。
结论
儿童肘部损伤非常常见,了解这些损伤的影像学表现对准确诊断至关重要。熟悉肘部解剖,包括儿童特有的继发性骨化中心,对肘部损伤的准确诊断是非常必要的。本文展示了常见的急性和慢性肘关节损伤。虽然这些损伤中有很多可以通过常规的 x 线片来确定,但有些损伤最好通过 CT、US 或 MRI 来评估。了解应该使用哪种类型的更先进的成像技术,将有助于优化患者管理。
上一页 儿童肘部损伤案例分享
下一页 儿童肘部损伤分享
