复杂的转子下和转子间骨折,往往需要切开复位,而环扎术有助于更好的复位骨折碎片,很多研究表面在髓内钉前添加环扎线,可保持复位并提供满意的解剖重建和良好的愈合。
图片
但是,环扎术的缺点是需要广泛的手术暴露,会影响骨折部位的血供,从而可能导致愈合延迟或失败。无论是使用开放环扎还是经皮环扎,环扎钢丝应用的一个主要问题是软组织插入,尤其是重要的血管结构:股动脉、股静脉。医源性血管损伤是严重和灾难性的,因此了解血管相对于股骨的解剖结构,并通过清晰的技术指南在股骨的不同水平进行环扎,有助于预防这些并发症。本文将描述血管与股骨的解剖关系,并为股骨周围的环扎术制定技术指南,特别是使用微型开放或经皮技术。
一图指出股骨环扎术避免血管损伤要点:
图片
在股骨近端到中轴,导引器与位于股骨前内侧和内侧的股浅动脉和股深动脉保持安全距离;
在中轴到远端 1/4 处,导引器必须与股骨后内侧皮质接触,导引器尖端横向平移;
在远端 1/4 以下,导引器必须与股骨后皮质接触。
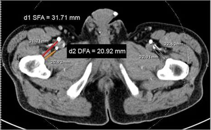
该研究采用带有 3D 重建的轴向 CT 扫描以识别股浅动脉(SFA)和 股深动脉(DFA)相对于股骨干皮层的位置,把股骨内侧划分成8个部分(A-H),股骨的长度从大转子尖端到胫股外侧关节线的长度,分为8等分(7级)。
图2 轴向CTA用于确定股骨皮质与SFA(d1)和DFA(d2)之间的最短距离
图3 股骨的长度从大转子尖端到胫股外侧关节线的长度,分为8等分(7级)
图4 股骨的内侧半部分为8个部分,标记为A到H
在股骨远端骨折复位和髋关节置换术期间,有一些关于血管损伤的报道。所有血管损伤都在术后早期诊断,随后进行了环扎或栓子切除术的修正以及血管内支架的放置,从而恢复了正常的灌注。股骨内侧的SFA 和 DFA 损伤可能发生在股骨内侧的环扎线、外侧-内侧进针/钻孔、放置钢板期间。
Farouk等人证明,使用传统的股骨外侧入路,股骨穿通动脉和营养动脉有受损的风险,这将导致股骨的骨膜血液供应中断,他们的方法包括完全抬高股外侧肌和结扎外侧肌间隔处的穿支血管,这种方法会导致软组织损伤并减少骨骼的血液供应。
(1)保护骨膜
保护股骨血液供应的精细手术技术是重要的。最近,Grob 等人在尸体研究中,结扎外侧肌间隔穿支血管 (LISP 血管) 观察其对股骨血液供应的影响,发现结扎 LISP 血管既没有改变髓质灌注,也没有改变骨膜血管灌注。作者建议采用温和的手术技术,这样LISP血管不应该结扎得太近(>2cm)至外侧肌间隔,并指出股骨嵴及其丰富的血管吻合不应被不必要地暴露。在复位骨折时,应尽一切努力保存骨膜,为了骨膜愈合。
(2)熟悉并避开动脉走形区
Narulla等人描述了一个危险区域和一个安全区域,当放置股骨外侧螺钉时,可以用作指导。Kim等人回顾了小转子下缘到内收肌结节之间的CTA中血管走形,得出结论:长钢板可以安全放置在股骨远端半部的前内侧,小转子下方8cm水平。
在手术过程中,必须透视确定小转子的下边缘。我们遵循他们的股骨截面图,说明了股骨皮质与SFA 和 DFA 之间距离的测量,但我们感兴趣的区域是从大转子尖端到外侧胫股骨的整个股骨长度联合线。使用这些位置参数可以帮助外科医生在手术过程中更轻松、更准确地识别股骨上的特定感兴趣区域。
【股浅动脉】
在Kim 等人的研究中,SFA 与 VI 级股骨之间的最近距离为 12.2 mm(范围 7.5–18.3 mm),和我们研究中的 6 级13.63 ± 3.59 mm(95% CI 12.83–14.43)相对应。我们的研究发现,在 6 和 7 级、即股骨远端1/4,F 区和 H 区之间,即股骨后侧和后内侧之间,SFA 靠近股骨,距离小于 15 mm。如 Link 等人所述,该区域是最危险的区域,因为环扎器穿过 SFA 会导致血管闭塞和肢体缺血。
【股深动脉】
DFA 是大腿许多肌肉的主要动脉供应,特别是在内侧和后部,并且充当股骨干的大营养动脉。DFA 的穿支分支通常包括3个独立的分支加上末端分支,称为第四穿支动脉 。穿支动脉沿股骨后方的股骨嵴依次与相邻的穿支吻合。在穿支受伤的情况下,剩余的穿支和 SFA 的吻合可代偿维持股骨周围足够的血供。根据我们的研究,可以从 1 到 3 级找到 DFA 。1 级d2在前内侧平均为 26.7 mm, 2 级的d 2 在中轴内侧平均为 14.7 mm,这对环扎术来说非常安全。在第3级,DFA 靠近股骨,d2平均值为 9.6 mm,这可能会产生卡压的机会。然而,该水平的DFA 很小,周围环绕着来自 SFA 和 DFA 的丰富血管吻合,可以补偿 DFA 下部的损伤。此水平的 DFA 损伤不会导致肢体缺血。
环扎术应遵循正确的手术步骤,并从后肌间隔开始。安全区域是股骨的近半部分(中轴),其中SFA 和 DFA 与股骨保持安全距离。在中轴和远端 3/4 之间,需要小心地通过导引器并保持尖端靠近后内侧皮质。在远端 1/4 以下,导引器的尖端应保持靠近后皮质,以免损伤 SFA 和坐骨神经。
上一页 胫骨近端骨折
