肩关节是最容易脱位的关节之一,肩关节脱位常伴随其它结构的损伤,如血管神经损伤、肩袖损伤、盂唇损伤、Bankart 损伤等。脱位本身诊断往往是明确的,容易被忽略的是其继发的伴随损伤。
需要仔细评估肱骨头、大结节、关节盂边缘、肩峰、喙突等结构。典型的X 线投射角度包括:内旋位前后位片、外旋位前后位片(Grashey 位)、侧位(肩胛骨 Y 位)、腋位片以及改良腋位片。
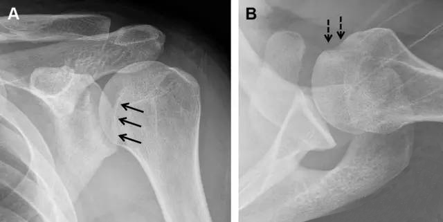
图6 肩关节前脱位伴有 Hill–Sachs 和 Bankart 损伤:(A~C)肱骨头后外侧撞击骨折,白色箭头所示为骨折的内侧边界;(A)内旋位前后位片,(B)「V」形压缩骨折的下边界(虚线短箭头),(C)Garth 位(轴向投影)示 Hill–Sachs 损伤(虚线和实线折箭头),特别是对骨性 Bankart 损伤的诊断有帮助。(D、E)MRI 进一步证实了损伤
图7 肩关节后脱位伴有反 Hill–Sachs 损伤。(A)外旋位前后位片可见一硬化带(黑箭头),此「凹槽征」与肱骨头关节面平行;(B)腋位片进一步证实了骨折的存在
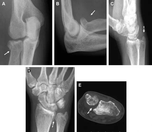
Essex-Lopresti 损伤是桡骨头骨折伴有下尺桡关节脱位,导致骨间膜损伤,桡骨短缩。此种损伤,桡骨头骨折的诊断往往是明确的,容易忽视的是下尺桡关节脱位,特别是早期,下尺桡关节的症状不明显,X 线表示也不明显。
图8 Essex-Lopresti 损伤。前后位(A)和侧位(B)示桡骨头关节内骨折(白色实线箭头);(C~E)伤后 1 个月复诊,患者诉腕关节疼痛,X 线(C,D)发现下尺桡关节脱位,(E)CT 进一步证实损伤的存在
