“内外兼修”组合治疗胫骨骨不连
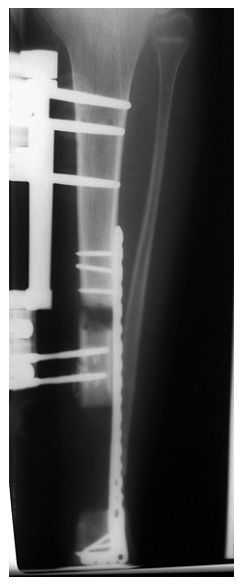
胫骨骨不连临床并不少见,下图为以19岁男性,髓内钉固定后发生感染性骨不连。
原因主要和血供有关,下图可以看到胫骨远1/3的血供相对较差,容易发生感染和骨不连。
病例处理通常要分期:
➤ 1、I期取掉内固定物;
➤ 2、彻底清创;
➤ 3、采用带抗生素的骨水泥做成的spacer(间隔块),比如下图里用3根克氏针+骨水泥做成的间隔块;
➤ 4、并用外固定支架支撑。
等确定感染控制了,软组织条件好了,行II期手术,本文作者介绍了一种组合式固定方式+骨搬运。
➤ 1、骨科外固定支架单边(用于骨搬运+支撑);
➤ 2、锁定长钢板(维持长度+支撑);
➤ 3、I期术后12个月,搬运到位后,直接上螺钉固定,去除外固定架。
I期术后2年,患者终于获得骨愈合。
◈ 通过这种内外组合,平均愈合时间是266天,14例患者均取得良好的骨愈合。
