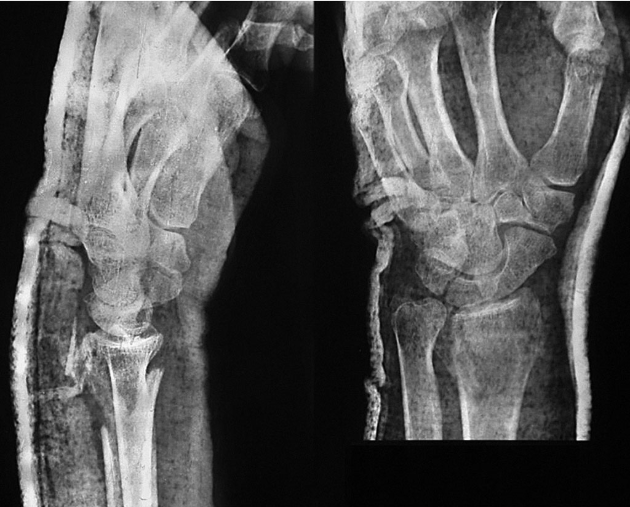
患者,女,51岁。因右腕摔伤后肿痛、畸形、活动受限,急诊就诊诊断为右桡骨远端骨折。行闭合牵引复位,石膏托外固定。拍片复查,桡骨远端背侧因骨折的粉碎性质而缺损巨大,背侧的皮质骨碎片向远端移位至桡腕关节间隙水平并嵌于腕背软组织中无法闭合复位(图2-1)。桡骨远端背侧因缺乏可靠的皮质骨支撑而存在骨折继发移位、掌倾角向背侧倾斜且移位的皮质骨碎片潜在刺激背侧软组织、磨损伸肌腱的风险,增加发生关节疼痛和功能障碍的可能性,于是行桡骨远端骨折切开复位,人工骨植入,超关节外固定架固定术。
图2-1 桡骨远端背侧因骨折的粉碎性质而缺损巨大,背侧的皮质骨碎片向远端移位至桡腕关节间隙水平并嵌于腕背软组织中无法闭合复位
02【手术指征的选择】
桡骨远端不稳定骨折是主要的手术指征,包括:①桡骨远端背(掌)侧皮质粉碎,关节面移位>2mm;②掌倾角向背侧倾斜超过20°~25°;③桡骨短缩> 5mm;④复位后不稳定,易发生再移位。骨折在纵向牵引下骨折块复位困难,骨折端的骨皮质支撑不满意,在骨折端夹有肌腱或骨膜。对于严重的关节内粉碎骨折,桡骨短缩明显,内固定螺钉无有效固定位置的病例,外固定架固定是首选方法。如Frykman分型中的Ⅶ、Ⅷ两型,通用分类法中的Ⅱ、ⅣA、ⅣB型,关节内四部分骨折等首先应考虑外固定架。此患者桡骨远端背侧皮质粉碎,复位后不稳定,易发生再移位。腕背侧移位的骨片闭合复位很难达到满意的位置。
03【术前计划与手术技巧】
术前拍腕关节正、侧位X线片,腕关节冠状位、矢状位和水平位CT(图2-2)。此患者骨缺损和无法闭合复位的骨片均在背侧,宜采用背侧入路,复位,植骨,固定。取患肢前臂远端桡背侧纵切口(图2-3),从伸拇长肌腱和桡侧伸腕长、短肌之间进入,注意保护血管神经和肌腱,显露清理折端骨缺损区域和背侧移位的骨片(图2-4),复位,植骨,外固定架超关节固定(图2-5、图2-6)。术中透视骨折复位固定满意(图2-7),术后拍X线片证实(图2-8)。此手术的优点在于避免了局部存在内固定物的刺激,避免二期切开取出固定物所致的再次损伤。
图2-2 骨缺损和无法闭合复位的骨片均在背侧
图2-3 切口起自桡骨茎突,向上沿桡骨后缘并略偏向尺侧
图2-4 显露桡骨远端背侧骨缺损区和移位的骨片
图2-5 外固定架超关节固定
图2-6 显示植骨和骨片复位
图2-7 术中透视示骨折复位、固定、植骨满意
图2-8 术后X线片示骨折复位、固定、植骨满意
04【术后治疗及并发症】
术后抗炎3天,每日进行针道护理。术后第二天开始进行康复训练,指导下进行前臂旋转功能锻炼。术后第4周松开一侧外固定架的球形关节动力化,初步行腕关节屈伸功能锻炼。术后6周骨折愈合,去除外固定架。常见并发症主要有:桡神经损伤,肌腱损伤,肩手综合征,创伤性关节炎,针道感染,固定失效,畸形愈合,腕关节不稳定。此患者仅有轻微外背侧疼痛。
山东君泰安德医疗科技股份有限公司今日分享:外固定架治疗桡骨远端不稳定骨折
上一页 肱骨髁上骨折-外固定支架
下一页 胫骨近端骨折:环形外固定架
