山东君泰安德医疗科技有限公司今日分享:骨盆外固定架侧后方外固定进针点如何选择
侧后方外固定器 (LPEF) 在不稳定骨盆骨折中的应用是许多治疗方案的重要组成部分。此外,某些骨盆骨折可以用外固定器治疗,而不需要进一步的内固定。本文讨论使用替代骨盆外固定器部位侧后方外固定器 (LPEF)的初步临床结果,并详细描写了手术技术。
骨盆外伤外固定应用是许多治疗方案的重要组成部分,目的是稳定骨盆以控制出血、降低输血率和提高存活率。该手术简单、快速、并发症风险最小,此外,某些骨盆骨折可以用外固定器治疗,而不需要进一步的内固定。
介 绍
骨盆前外固定三种技术的手术解剖结构包括前上(髂翼)、髋臼上或前下(髂前下棘)和嵴下 [髂前上棘(ASIS)]插入部位。
并发症的相关风险包括针错位、固定缺失、神经血管损伤和感染。我们使用侧后方进针点固定技术,我们将其命名为侧后方外固定器 (LPEF),并描述了其初步临床结果。使用外侧髂嵴的结节部分作为可识别的标志,我们可以生成一个侧向入口点并向后定向,从而将我们的针定位在离坐姿引起的腹股沟折痕和皮肤褶皱更远的地方(图1)。
图 1不同外固定技术的比较。紫色,前上(髂翼)。绿色,髋臼上(髂前下棘)。红色,嵴下(髂前上棘)。蓝色,LPEF,外侧后骨盆外固定器(髂结节)。
方法和材料
我们已经确定了 27名在2010年至2013年期间由一名外科医生(MKR)接受LPEF治疗的连续患者。
纳入标准是年龄大于18岁且接受LPEF治疗的骨盆环损伤急性治疗的患者。
排除标准是除了LPEF外,有不同类型的骨盆外固定器的患者。
我们收集了与损伤机制、手术干预、并发症(包括感染)相关的数据(浅表针部位感染定义为蜂窝织炎和对敷料和针部位护理或去除外固定器有反应的脓性分泌物),但没有骨髓炎的证据,深部感染(定义为骨髓炎或深部积聚)、皮肤并发症(如肉芽增生伤口)、医源性骨折、外固定器严重错位(术后X光片上缺少髂结节)、固定丢失、神经或血管损伤数据。
手术 技术
患者仰卧在射线可透的桌子上。使骨盆外固定器的应用、骨折肢体的外固定或内固定以及图像增强器的使用变得容易。可识别的标志包括 ASIS和髂嵴,从ASIS后外侧触诊。
当髂嵴向后和向内弯曲时,触诊髂嵴的结节部分。这些地标用外科标记笔勾勒出来(图2)。在髂嵴结节部分的上外侧至下内侧方向上做一个2厘米的切口,根据需要允许切口延伸。
动脉夹用于直接解剖皮下组织并到达髂嵴的结节部分。用15刀片手术刀或电烙器在其中心小心地切开骨膜。一个5毫米x150或180毫米的部分螺纹自钻和一个自攻销与一个软组织保护套管小心地插入销入口点一起使用。
方向是从前到后在轻微的尾侧到颅侧方向,从外侧到内侧按照外科医生用另一只手触诊髂嵴确定的方向,通常在20°。动脉夹或克氏针的钝端也可以插入髂翼的外侧下方以引导销的对齐。
销钉以低速前进以尽可能长时间地保持在内侧和外侧皮质之间,并且可以是单皮质或双皮质,具体取决于所达到的工作长度(图2-4)。
值得注意的是,我们发现站在患者对侧时更容易将针插入。图像增强器可用于引导引脚的方向;在插入两个引脚后,我们成功地确认了良好的定位。
获得骨盆的标准AP视图,以及改进的闭孔斜出口视图,以 “牛眼” 方式使销居中,通常从AP视图向闭孔斜视图旋转约20°,并添加约10° 的出口视图,直到引脚位于成像中心(图5),这证实了该针位于髂骨结节区域的中心。
外固定器结构由2根或3根碳纤维杆完成,用针对杆夹和杆对杆夹连接,通过外部操纵或牵引相结合来减少骨盆,通常使用针作为 “操纵杆”。
然后将结构拧紧。图像增强器与标准AP、入口和出口视图一起使用,以评估前后骨盆环缩小的质量(图6)。程序时间大约为10分钟,类似于晶体下技术。
图 2 LPEF技术,从上面查看针插入ASIS后外侧(用圆圈标记),稍微外侧向内侧和尾侧向颅骨方向。
图 3 (A) LPEF技术,侧视图。(B)髋关节的屈曲不受LPEF针和远离LPEF插入部位的屈曲折痕的阻碍。
图 4表示LPEF位置的线描图像。
图 5术中图像增强的 “牛眼” 视图,改进的闭孔斜视图确认髂结节内的足够针位置。
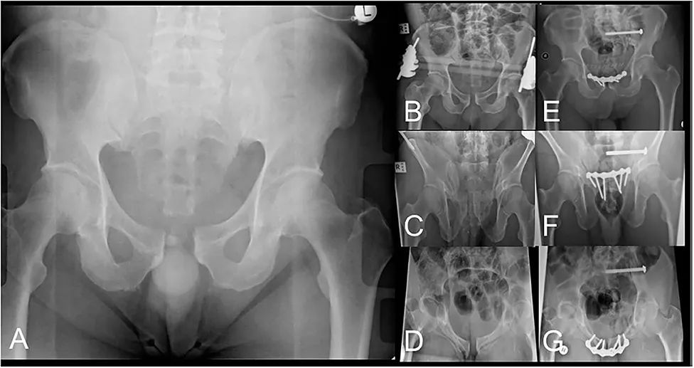
图 6骨盆损伤的AP骨盆X光片(A)分类为左侧APC2。LPEF应用后的AP (B)、出口(C)和入口(D)射线照片显示骨盆对线得到改善,等待最终的手术治疗。AP (E)、出口(F)和入口(G)的X光片在去除LPEF后最终固定后。
术后 护理
术后护理包括针部位的定期干燥敷料和观察针部位感染的任何迹象。负重状态取决于骨折形态(图 7)。至少在2、6和12周和6个月时在诊所进行X光片随访,直到临床和放射学愈合且手术伤口愈合或死亡。
临床结果
16名患者使用LPEF作为急性骨盆稳定,而在10名患者中,它被用作确定性治疗,一名患者在第14天死亡,继发于他严重的闭合性头部受伤。
唯一的手术并发症是两次伤口感染,在移除LPEF(在36天和50天)和抗生素后没有后遗症,其中1例导致固定丢失到71天取出LPEF,1例患者的外固定器部位出现过度颗粒化,最终痊愈,没有任何皮肤后遗症。所有骨折都固定位置良好。
讨 论
我们已经描述了 27名骨盆环损伤患者急性LPEF的使用。许多研究记录了在血流动力学不稳定的多发伤合并不稳定骨盆环损伤的患者的复苏阶段使用紧急骨盆外固定装置的有益结果。然而,存在许多不同的创伤复苏方案。因为约80%的血流动力学不稳定病例与静脉出血或骨折部位出血有关,紧急减少骨盆体积以促进凝块形成和阻止持续的静脉出血至关重要。
事实上,在实验研究中已经证明,减少开放式骨盆破裂会导致腹膜后压力增加,这被认为有助于静脉出血的填塞效应。这可以通过使用例如骨盆粘合剂、薄片或外部固定装置(包括C形夹)来实现。盆腔填塞是产生填塞效果以控制出血的另一种方法,这可以在腹膜后间隙进行。血管栓塞术如果在对比CT扫描中可见红晕或在骨盆粘合剂或外固定应用后持续不稳定的情况下,可用于控制动脉出血。然而,存在几种创伤复苏方案,其中许多涉及在某个阶段进行骨盆外固定。最近在一项研究中比较了两种不同的方案,包括348例病例,死亡率没有差异,这表明优化医院可用资源的个性化创伤复苏方案是治疗严重多发伤患者的关键。
目前,在骨盆前外固定中,有三个公认的置针位置:
(1) 前上颌骨,针垂直于髂嵴插入,
(2)髋臼上(或前下方),针从髂前下棘前后置入方向,
(3)髂棘下颌骨的针,放置在与嵴平行的方向(图1)。
大多数并发症包括未能在髂内表和外表之间正确放置针、损伤位于皮肤和骨骼入口点之间的解剖结构,例如股外侧皮神经、穿透髋关节、失去固定、和感染。据报道,在确定性治疗病例中,前上和髋臼上技术的针部位感染率分别高达20-40%和25%,
Solomon等人报告了在一组20名使用晶下外固定器的患者中,20%的浅表感染发生率。虽然嵴下技术的切入点髂前上棘靠近股外侧皮神经,但Solomon等人的研究中没有发现股外侧皮神经损伤的病例系列。
我们发现使用这种技术的好处之一是增加了与腹股沟的距离,并且在坐姿和髋关节屈曲过程中,与其他技术对比针部位周围的皮肤褶皱的运动最小,如图 3。事实上,该队列中的两例针部位感染发生在LPEF应用后5周和7周,此时骨折已经足够巩固,可以安全移除外固定器,而不会对治疗产生任何进一步影响。
与嵴下入路相比,LPEF技术的一个好处是,如果稍后需要Pfennansteil切口进行前骨盆固定,它能够远离手术区域(图2)。我们相信,由于针的侧后方定位,与嵴下和髂翼技术相比,我们使用LPEF技术对半骨盆后部有一些额外的控制。我们还在对骨盆骨折进行最终固定时,将这些外侧后部销钉用作临时间接复位辅助工具。这些销钉可用作 “操纵杆” 来控制半骨盆,同时减少骨盆前部骨折或耻骨联合破坏,以及在经皮骶髂固定期间。如果使用侧窗方法,它也可以以 “开放” 方式使用,例如,在开放式骶髂关节复位期间。
由于特定的骨折形态,当前研究中的一名患者在对侧接受了外侧后路销和髋臼上销的组合。这是一个很好的案例,表明治疗骨盆骨折的整形外科医生应该掌握几个进针部位,因为它们的表现是相当多变的,并且一种特定的技术不一定适合每种骨折模式。
我们的研究结果表明,侧后方骨盆外固定器技术的并发症发生率较低,至少与之前描述的技术相当,这可能是由于其插入的安全解剖学特征所致,因此需要进一步的比较研究。我们相信这项技术在骨科医生治疗骨盆骨折的技术库中非常有用。
上一页 暴露胫骨平台后柱的手术入路
下一页 外固定架治疗骨盆前环不稳定骨折
