山东君泰安德医疗科技股份有限公司今日分享:踝关节骨折的 Lauge-Hansen 分型
作为人体负重最大的关节,踝关节骨折的 Lauge-Hansen分型对于很多年轻骨科医生来说既熟悉又陌生。以下内容结合相关文献详细阐述这一分型,并与 AO分型相对应。
Lauge-Hansen 分类
Lauge-Hansen分类的名称同时包含了足的位置和暴力方向。

当足处于旋前位时,内侧的三角韧带紧张,因此最初损伤的内侧结构(内踝骨折或韧带断裂)

当足处于旋后位时,内侧的三角韧带松弛,因此最初损伤的是外侧结构

距骨外旋
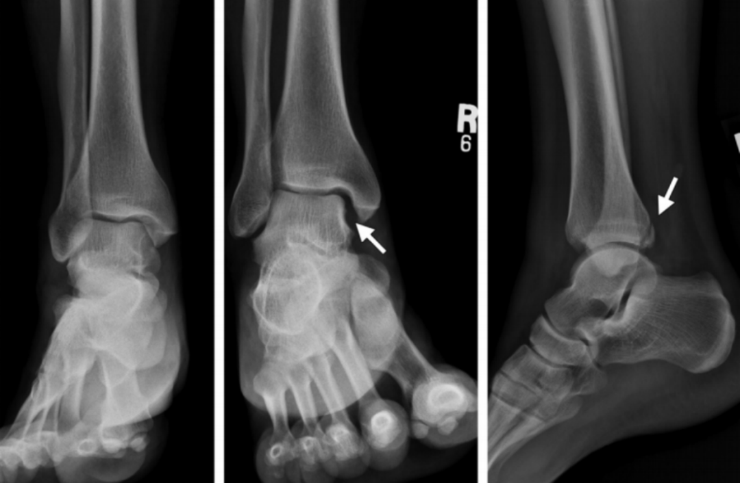
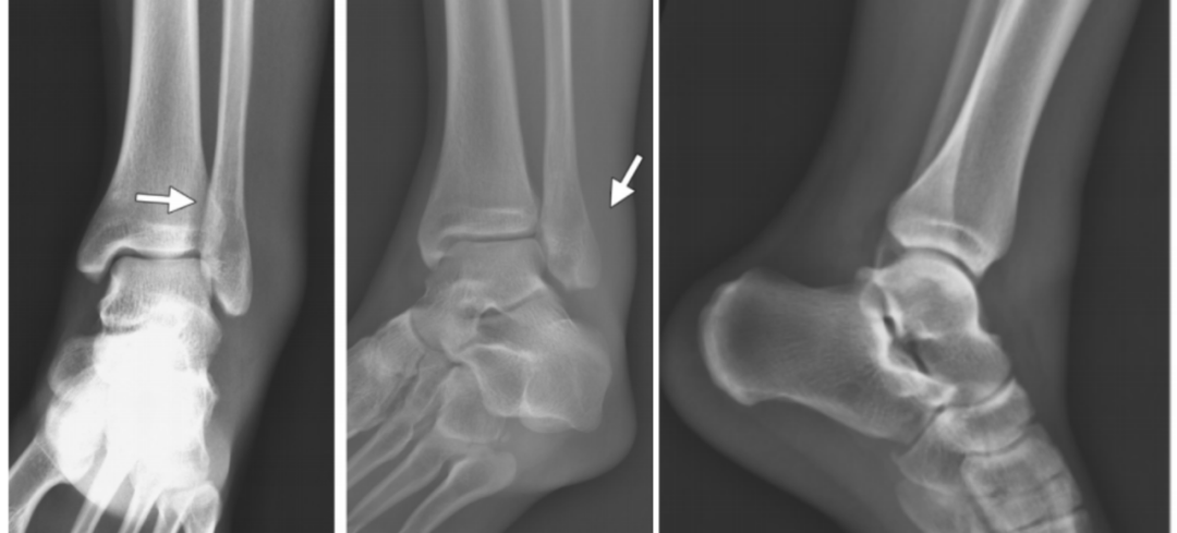
1、旋后(内翻)内收损伤(简称 SA)
损伤时,足呈旋后位,距骨内收,使踝关节外侧韧带紧张。
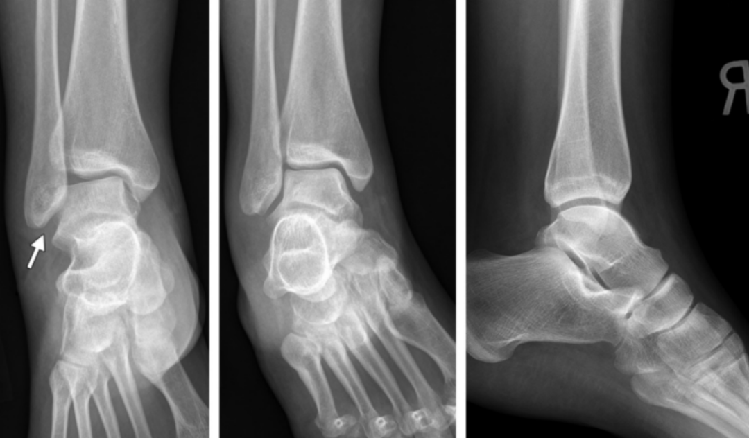
旋后内收损伤
Ⅰ度:首先发生的是外侧副韧带撕裂或者外踝的撕脱骨折,由于损伤发生于下胫腓联合远端,该韧带多保持完整。

I 度损伤 X 线显示:外踝间隙增宽,提示外侧副韧带撕裂,未见胫腓骨骨折,此型在 X 线上是隐匿的。
Ⅱ 度:内收的外力继续作用,内踝受内翻的距骨挤压作用,可造成内踝的垂直骨折,及胫骨远端关节面的内侧部分压缩骨折,如果合并其他方向的外力,有可能造成内踝的斜行骨折。

II 度损伤 X 线片显示:腓骨骨折在下胫腓联合水平以下,内踝垂直骨折;侧位 x 线片显示后踝无骨折。
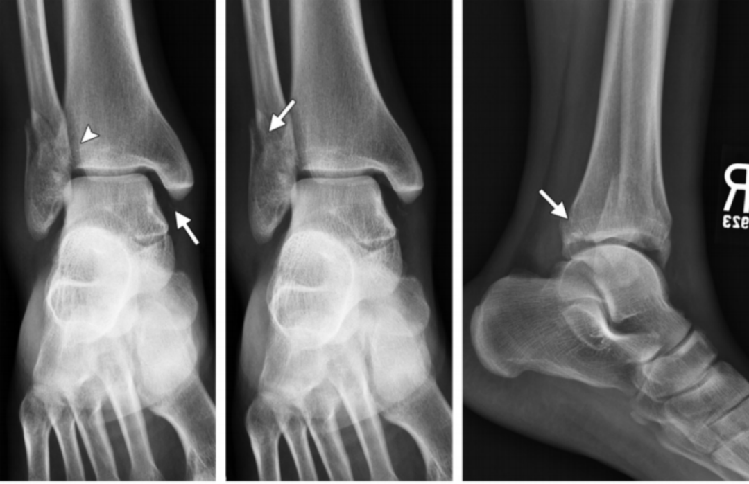
2、旋后(内翻)外旋损伤(简称 SE)
损伤时患足呈旋后位,距骨外旋,胫骨内旋,因此在损伤初期三角韧带松弛,当距骨继续外旋,腓骨受到向外后推挤,胫腓下联合前韧带及三角韧带紧张。

分为四度:
I 度:首先在外旋力作用下发生下胫腓前韧带断裂,该韧带断裂可以发生在腓骨附着点撕脱骨折(Wagstaffe 骨折)、韧带本身或者胫骨附着点撕脱骨折(Tillaux-Chaput 骨折)。
I 度损伤 X 线显示:胫腓骨间隙轻微增宽,提示下胫腓前韧带断裂;软组织肿胀;侧位片显示后踝未发生骨折。此型在 X 线上是隐匿的。
Ⅱ 度:由于距骨给腓骨施加了旋转力,导致腓骨在胫骨关节面顶部发生斜行或螺旋形骨折,骨折线一般自前下方斜向后上方。
II 度损伤 X 线片显示:胫腓骨间隙变宽,提示下胫腓前韧带断裂;腓骨螺旋形骨折;侧位片显示腓骨骨折位于下胫腓联合水平,骨折线由前下到后上,后踝无骨折。
Ⅲ 度:若外旋的力量进一步作用,可导致下胫腓后韧带断裂,或韧带在腓骨后结节附着点撕脱,或其胫骨附着点撕脱骨折(Volkmann 骨折)。

II 度损伤 X 线片显示:胫腓骨间隙变宽,提示下胫腓前韧带断裂;腓骨螺旋形骨折;侧位片显示腓骨骨折位于下胫腓联合水平,骨折线由前下到后上,后踝无骨折。
Ⅲ 度:若外旋的力量进一步作用,可导致下胫腓后韧带断裂,或韧带在腓骨后结节附着点撕脱,或其胫骨附着点撕脱骨折(Volkmann 骨折)。
IV 度损伤 X 线片显示:胫骨腓骨间隙变宽,提示下胫腓韧带联合断裂;腓骨螺旋形骨折,腓骨骨折位于下胫腓联合水平,骨折线由前下到后上,内踝间隙增宽,提示三角韧带断裂;侧位片显示后踝无明显骨折,但下胫腓后韧带可能断裂。
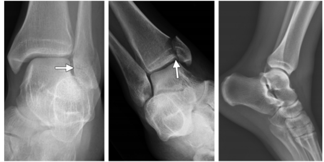
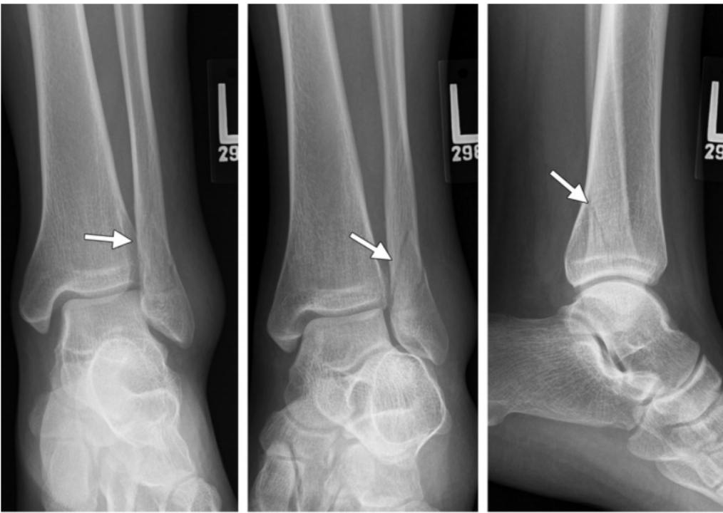
3、旋前(外翻)外旋损伤(简称 PE)
伤足处于旋前位,距骨外旋,三角韧带首先被拉紧。

旋前外旋损伤
I 度:首先发生的是三角韧带的断裂或者内踝的撕脱骨折。
I 度损伤 X 线显示:内踝水平骨折;侧位 X 线片显示后踝完整。这种损伤与旋前外展 I 度非常相似。
Ⅱ 度:距骨外旋力量继续作用于下胫腓关节,下胫腓前韧带和骨间韧带或韧带附着点撕脱骨折。
II 度损伤 X 线显示:内踝间隙增宽,提示三角韧带断裂;胫腓骨间隙增宽,提示下胫腓前联合断裂。
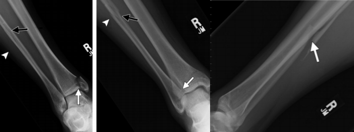
Ⅲ 度:腓骨骨折发生于胫骨远端关节面以上水平,甚至可以位于腓骨近端即 Maisonneuve 骨折,骨折线从前上方斜向后下方,即与旋后(内翻)外旋骨折相反。

III 度损伤 X 线片显示:内踝骨折和腓骨近端螺旋形骨折;胫腓骨间隙增宽;侧位片显示腓骨骨折,后踝无骨折。
Ⅳ 度:最后发生下胫腓后韧带断裂,或其胫骨附着点的撕脱骨折(Volkmann 骨折块)。
IV 度损伤 X 线片显示:内踝骨折;胫腓骨间隙增宽,提示下胫腓联合断裂,腓骨骨折位于下胫腓联合水平上;侧位片显示胫骨向前移位和后踝撕脱骨折。
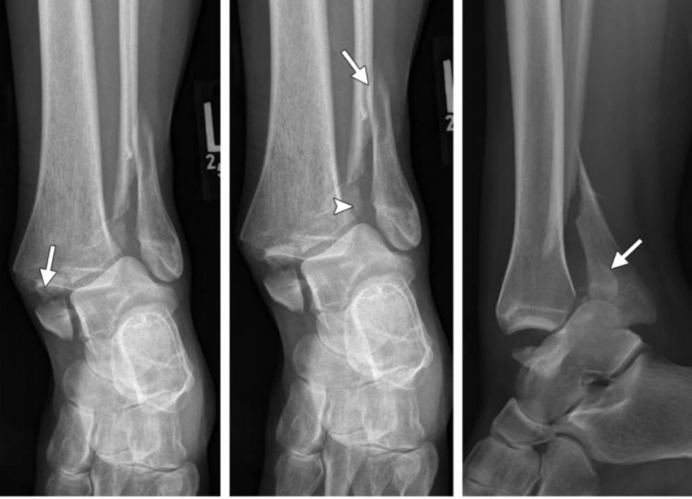
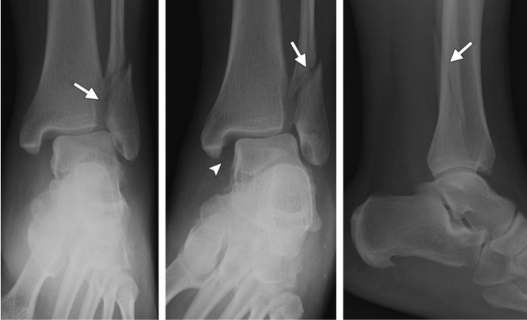
4、旋前(外翻)外展损伤(简称 PA)
伤足处于旋前位,而距骨是外展,三角韧带处于紧张,分为三度:

旋前外展损伤
Ⅰ 度:首先发生的是内侧三角韧带断裂或者内踝的撕脱骨折。

I 度损伤 X 线显示:内踝水平骨折;侧位片腓骨无骨折。
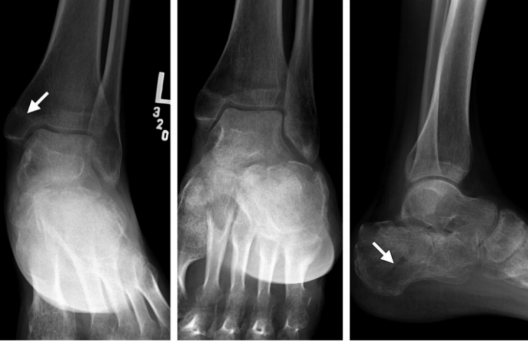
Ⅱ 度:距骨外展的力量继续作用于下胫腓关节,导致下胫腓前、后韧带的断裂或者撕脱骨折 ,骨间韧带、骨间膜撕裂。
II 度损伤 X 线片显示:腓骨无骨折,内踝间隙变宽,提示三角韧带断裂;侧位片显示后踝骨折(箭头)。
Ⅲ 度:距骨外展的力量作用于腓骨,使其外侧受到压力,内侧受到张力,导致腓骨在胫骨关节面附近发生短斜形骨折,主要骨折线基本呈横行,常伴有三角形小骨片,或者外部粉碎型的骨折;甚至可以伴有胫骨远端关节面外侧部分的压缩骨折。
III度损伤X线片显示:内踝间隙增宽,提示三角韧带断裂,胫腓骨间隙增宽,提示下胫腓联合断裂;腓骨斜向骨折,外侧高,内侧低;侧位片显示后踝骨折(箭头)。
AO/OTA分型
首先以腓骨骨折线位置与远端胫腓联合之间的位置关系进行分类。该分型系统强调了外踝在踝关节稳定性中的重要性,易于使用,临床应用较广泛,对于手术中远端胫腓联合的修复有指导意义。
44A 腓骨骨折线位于下胫腓联合下方,下胫腓关节稳定;
44B 腓骨骨折线位于下胫腓联合平面,下胫腓关节稳定;
44C腓骨骨折线位于下胫腓联合上方,下胫腓关节不稳定。
两种分型的对应关系
AO分型中 A型损伤对应Lauge-Hansen分型中旋后内收损伤。
AO分型中 A型损伤对应Lauge-Hansen分型中旋后内收损伤。
AO分型中 C型损伤对应Lauge-Hansen分型中旋前外旋损伤。
后记
踝关节是人体负重最大的关节。站立行走时全身重量均落在该关节上,日常生活中的行走和跳跃等活动,主要依靠踝关节的背伸、跖屈运动。
踝关节骨折大部分是单踝骨折,单踝骨折约占 66%;双踝骨折占 25%;三踝骨折占 7%;开放性骨折很少见,只占踝关节骨折的 2%。
理想的骨折可根据骨折分型来判断治疗方案,并能提供给医生和患者预后的预判。
总之,AO分型对手术治疗有一定指导意义。Lauge-Hansen分型主要基于踝关节的间接损伤机制,常用来指导骨折的闭合复位。