骨不连(骨折不愈合)有好几种不同情况,有些预后好,有些预后差,在形态、病理、影像上都有其特定征象
概述
骨不连(骨折不愈合)
骨折经过治疗,超过一般愈合时间(9 个月),且经再度延长治疗时间(3 个月),仍达不到骨性愈合,称之为骨折不愈合。目前对于骨不连有很多种分类方法,但是这些分类方法大多是基于外观形态学,而不是建立在病理改变基础之上。
分类最重要的一步,是根据骨折部位有无感染,将骨不连分为感染性骨不连和非感染性骨不连。
非感染性骨不连
对于非感染性骨不连,最常用的分类方法是Weber-Cech 在 1976 年提出的分类,目前仍被广泛应用。
这种分类方法通过影像学检查和组织学表现,根据按骨折断端是否存在血供、是否具有再生的活性分为两大类:
1、富血供 - 有活性的骨不连:
骨折端血供较好,骨愈合潜力较大。可以进一步分为三种:
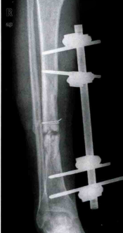
①象足形骨不连(肥大性骨不连)

骨折端明显增生,形成大量的骨痂,高度肥大,形成象足样外观,骨折断端活性好,通常还有一些稳定性。
多由于固定不稳定、制动不充分或过早地负重行走等因素造成。
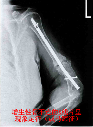
②马蹄形骨不连
骨折端中度增生,形成少量的骨痂,稳定情况比较差,新骨形成比较不明显。
多由于钢板螺钉内固定后中等程度不稳定,骨折断端形成一定的骨痂但不足以愈合,并且可能存在少量的硬化。
③营养不良性骨不连
该类骨折并非富血供,然而在断端仍可见血管和极少量或无骨痂形成,通常继发于明显移位的骨折、骨折端分离或者内固定时骨折端复位不良。
常要与萎缩性骨不连相鉴别。与萎缩性骨不连不同的是,营养不良骨不连血供相对较好,预后好。
2、缺血供 - 无活性的骨不连
缺血供- 无活性的骨不连可以进一步分为四种:
①楔形(缺血)骨不连
骨折区域中间楔形骨块的血供减少或缺失,楔形骨块可与一侧主骨块愈合,而另一端发生不连,通常继发于钢板螺钉固定胫骨干的楔形骨折。
②粉碎性(死骨型)骨不连
骨折区域中一块或多个中间骨块发生坏死,影像学证实无任何骨痂生长,通常继发于应用钢板螺钉固定的粉碎骨折。
③缺损性骨不连
两骨断端间存在骨块缺损,骨折端虽有活力但却不能越过缺损处形成连接,经过一段时间后骨折端萎缩,无连续性骨痂,通常继发于开放骨折、骨髓炎死骨形成或者骨肿瘤切除术。
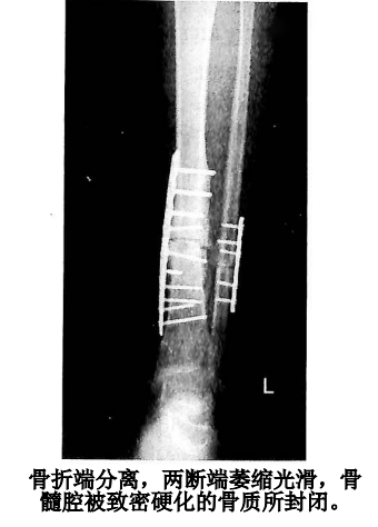
④萎缩性骨不连
骨折断端骨质疏松并萎缩,继发于中间骨块缺失或者无成骨能力的瘢痕组织嵌入骨折断端,明显的不稳定使原始骨皮质吸收、导致末端呈圆形。
主要继发于粉碎性的开放骨折或合并有严重的软组织创伤的骨折,但肱骨比较特殊,血供较好且初次手术的肱骨闭合骨折可能会出现萎缩型骨不连。
感染性骨不连
感染性骨不连根据感染的范围和骨的稳定情况,进一步进行分类。
感染性骨不连是骨不连类型中治疗难度最大的一种,骨感染的控制和大段骨缺损的修复是感染性骨不连治疗的两大难题。
以下介绍两种常用的分类方法。
1、Cierny 分类Cierny 等根据感染的程度将骨髓炎分为 4 种解剖类型,即:
· Ⅰ 型为侵犯骨髓型;
· Ⅱ 型为表浅型;
· Ⅲ 型为局部型;
· Ⅳ 型为广泛感染型。
根据病人生理功能状况,它们中的每种病变类型又可分为以下3 个亚型:
· A 型为生理功能正常;
· B 型有局部或系统性病变,抑制伤口和骨折愈合;
· C 型有严重的系统性病变,如果进行手术治疗,风险较高。
2、Umiarov 分类方法
根据骨折断端的活力,肢体短缩,骨与软组织缺损状况将感染性骨不连分为以下4 型,即:
· Ⅰ 型为骨不连部位外形正常,肢体无短缩;
· Ⅱ 型为骨不连部位肥大,肢体短缩;
· Ⅲ 型为骨不连部位萎缩,肢体短缩;
· Ⅳ 型为骨不连部位萎缩,伴有骨、软组织缺损,通常是开放性骨折,伴有广泛软组织损害的病人。
临床分类方法
上述骨不连的分类都是基于局部血供和解剖形态划分的,并非基于病因学的分类,对临床治疗有指导意义的分类方法包括以下五种分类:
1、增生性(肥大性)骨不连
骨折端的生物学环境良好,有良好的血供和生物活性。
骨折端缺乏足够稳定的生物力学环境,骨折端活动过度,产生大量的软骨性骨痂。
X 线片呈现出「象足征」或「马蹄征」。
2、营养不良性骨不连
因创伤、医源性损伤等因素导致的骨折端缺血,影响了骨折愈合,可以伴随或不伴随骨缺损。
缺血的骨折块可以与主骨块连接,但是两个彼此缺血的骨块很难连接。
介于增生性骨不连和萎缩性骨不连之间的一个类型,属于二者之间的一个过度状态。
3、萎缩性骨不连
骨折端吸收变细,骨皮质菲薄。骨折端在缺血状态下,缺乏力的传导而出现萎缩,上肢发生萎缩性骨不连的概率较高。X 线片可成「鼠尾征」。
4、感染性骨不连
脓液浸泡,骨块腐蚀,导致骨感染伴发骨不连。
X 线片可看到骨折端呈虫蛀样改变,骨膜反应和死骨等表现。
5、假关节性骨不连(假性滑膜关节)
骨端间有充满液体的封闭式假性滑囊,类似于关节结构,可活动。多发生于骨折保守治疗的病人,因固定不稳,早期过度活动造成。
本文来自网络
山东君泰安德医疗科技有限公司现拥有多项多骨科外固定支架产品的国家专利,拥有专业的研发团队,研发团队由国内多位外固定领域及从事医疗行业多年的业内人士组成,在临床实践中不断创新、改良产品,使我们以好的产品为广大临床医生提供专业的服务。