今日分享:来自山东君泰安德医疗科技股份有限公司
单纯肱骨大结节骨折
与其它肱骨近端骨折不同,单纯肱骨大结节骨折常发生于年轻人。肱骨大结节骨折常由撞击或剪切/撕脱损伤所致:
撞击包括直接撞击、肩峰撞击、上关节盂撞击(极度外展时);
剪切/撕脱损伤常发生于肩关节前脱位。
在常规前后位片上,大结节与肱骨头重叠,骨折不易发现,外旋位前后位片有助于诊断。
图1 大结节骨折。(A)脂肪抑制序列斜冠状位 MRI,显示肱骨大结节线性骨折无移位(箭头)与周围骨水肿;(B)外旋位前后位(AP)片,证实大结节骨折(箭头),典型的骨折愈合过程中的骨吸收表现;(C、D)初诊时内旋位、外旋位前后位片,初诊时漏诊,仔细回顾影像,内旋伞下可见双密度影(椭圆),骨皮质中断(箭头)
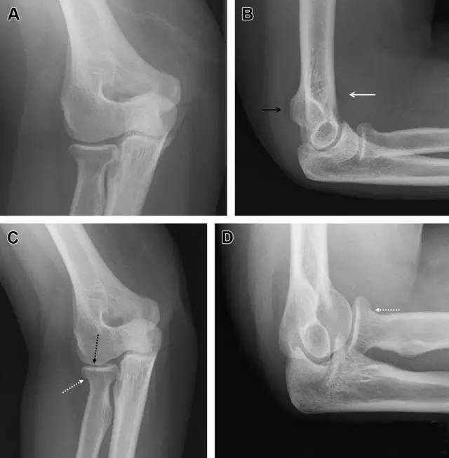
无移位的桡骨头/颈骨折
多发生于摔倒时,手掌撑地,受到轴向、外翻应力所致。常规的前后位片容易漏诊,常需加拍内斜位、外斜位、桡骨头-肱骨小头位片。后脂肪垫可见(位于鹰嘴窝内,一般不可见)和/或前脂肪垫抬高常提示骨性损伤。
图2 桡骨头骨折。前后位(A)和侧位(B)片示后脂肪垫抬高(黑色箭头),前脂肪垫抬高(白色箭头),呈「帆船征」,其它表现正常;外斜位(C)和桡骨头–肱骨小头位(D)示桡骨头关节内骨折线(虚线黑箭头)累及桡骨颈(虚线白箭头)
